電腦斷層掃描
電腦斷層掃描

築心動物醫院服務於新竹地區範圍擴及苗栗竹北,提供犬貓夜間急診、心臟、腫瘤、內視鏡微創、骨科、內外科急重症醫療、中獸醫、高壓氧…等醫療服務。為了讓毛小孩醫療品質能夠更加完善,2021年7月開始引進全新高階影像設備–電腦斷層掃描儀(CT)。毛小孩不只是寵物,更是家人,希望能夠藉由高階影像檢查,幫助更多病患找出病因,擬定更完善的治療計畫。
本院為提供更好的醫療品質,電腦斷層影像判讀與屏科大獸醫教學醫院影像科主任林莉萱老師合作,希望更多的醫療資源可以幫助毛小孩們早日脫離病痛。
電腦斷層掃描儀常見使用時機:
◼鼻腔疾病術前掃描,定位病灶同時搭配鼻腔內視鏡採樣。
◼IVDD椎間盤疾病診斷及擬定手術計畫。
◼胸腔、腹腔、骨頭、軟組織評估原位及轉移腫瘤,定位、分期、採樣、擬定手術計畫。
◼耳道疾病診斷、擬定術前計畫。
◼先天關節疾病診斷。
◼眼睛、眼週、眼後團塊診斷及採樣、擬定手術計畫。
◼肝臟門脈分流診斷、定位。
◼乳糜胸術前擬定手術計畫。
基本上適用於全身影像檢查,但應用上仍有限制,比如腦部、脊髓疾病…等等。
寵物電腦斷層需要全身麻醉,需要由醫師評估麻醉風險哦!
病例分享:
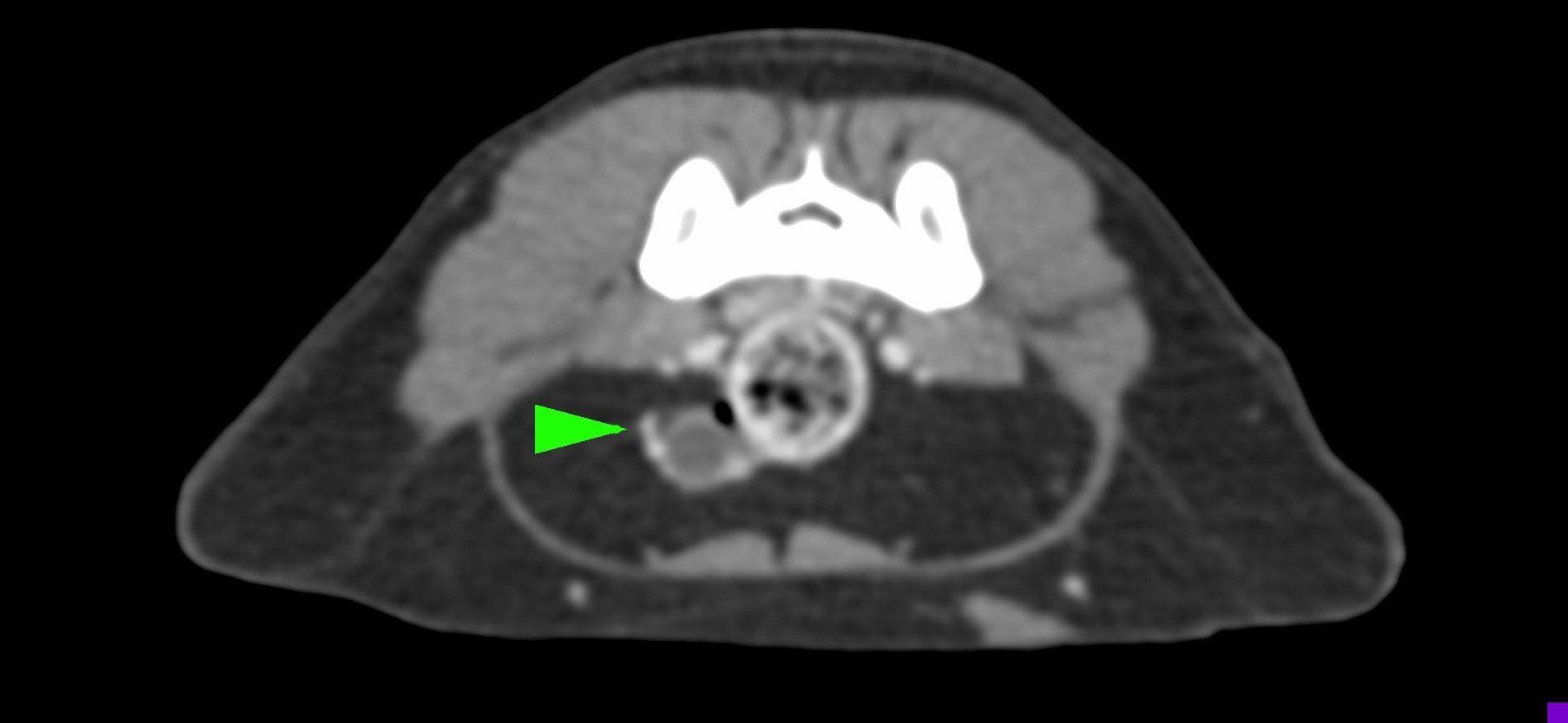
◼脊椎骨折

◼鼻團塊
◼下顎骨團塊
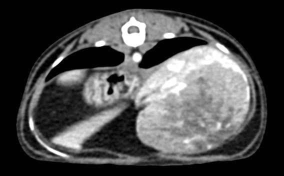
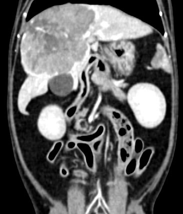
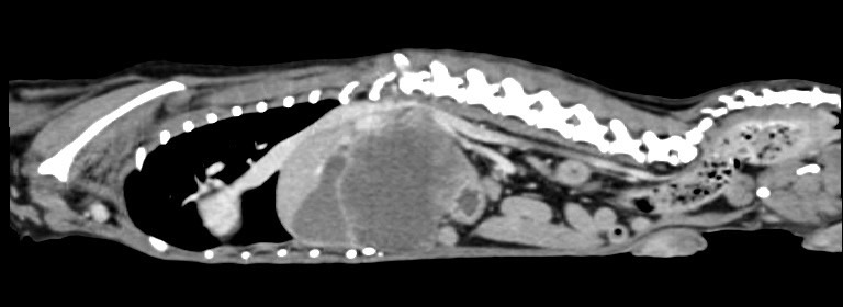
◼腹腔腫瘤
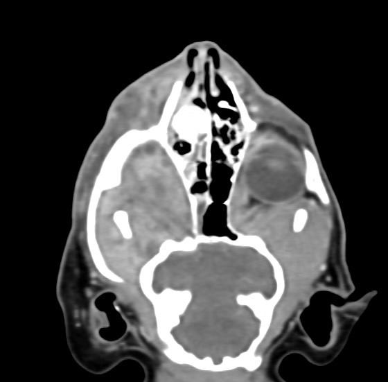
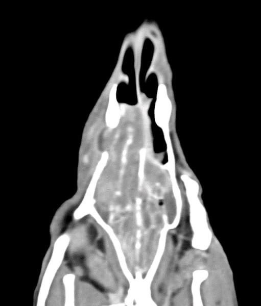
貓咪 鼻腔腫瘤腺癌 Adenocarcinoma
鼻腔腫瘤的診斷需要仰賴電腦斷層掃瞄定位病灶處,同時使用鼻腔內視鏡探查、採樣才能確診,同時有這兩項設備的醫院並不多,所以臨床事並不是那麼容易確診。貓咪幾個月前開始打噴嚏、流鼻、鼻塞越來越嚴重,他院住院治療改善不佳後轉診至築心檢查。
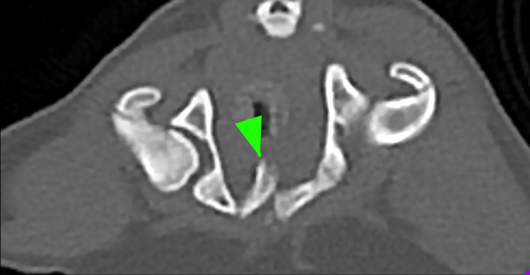
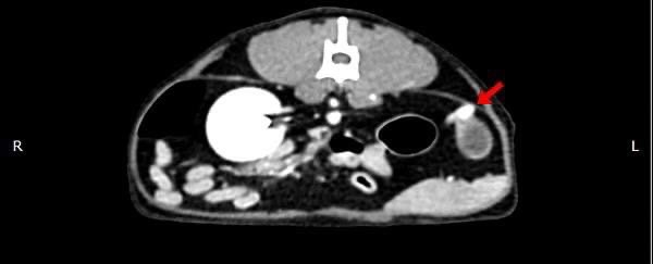
貓咪 卵巢殘留
在他院絕育後仍有發情現象,轉院至築心,經由電腦斷層掃描確認後手術。
狗狗 鼻腔腫瘤 惡性上皮癌
鼻腔腫瘤的診斷需要仰賴電腦斷層掃瞄定位病灶處,同時使用鼻腔內視鏡探查、採樣才能確診,同時有這兩項設備的醫院並不多,所以臨床上並不是那麼容易確診。狗狗的慢性鼻炎維持3-4個月,越來越嚴重,他院轉診至築心,經由內視鏡+電腦斷層確認為鼻腔上皮癌,而且由於病程時間長,已經轉移至胸腔,代表壽命不長了,至少家人心中有個答案,有心理準備陪狗狗最後一段路。
狗狗 鼻腔腫瘤 淋巴癌
鼻腔腫瘤的診斷需要仰賴電腦斷層掃瞄定位病灶處,同時使用鼻腔內視鏡探查、採樣才能確診,同時有這兩項設備的醫院並不多,所以臨床事並不是那麼容易確診。狗狗如果有打噴嚏、鼻分泌物 鼻塞,對藥物治療反應不好, 就還是要做進一步檢查才會比較安心唷!
鼻上皮細胞癌
鼻腔症狀是門診中狗貓最常見的主訴之一,但在診斷上卻不那麼容易,在缺乏如電腦斷層、內視鏡、牙科X光等特定設備的情況下,門診醫師多只能嘗試性的給藥觀察,對於慢性、頑固、難治的鼻腔問題往往便束手無策了。
柴犬皮皮因長期有鼻塞、流鼻血、流鼻水的症狀來築心就診,在這之前已經換過兩間醫院,但治療效果都不太好。在一系列的評估後,我們為皮皮安排了電腦斷層以及鼻腔內視鏡的檢查,檢查後發現在皮皮的鼻腔內有疑似腫瘤的團塊,並且向後侵入鼻竇,甚至已經接近大腦。我們運用內視鏡設備採樣取得了團塊的切片,並得到鼻上皮細胞癌的診斷。
![]()
![]()


卵巢殘留
卵巢殘留是指雌性動物在進行絕育手術後,仍然有部分卵巢組織殘留,進而導致術後仍然反覆發情,並可能繼發子宮殘端蓄膿、乳腺腫瘤等疾病。而殘存的卵巢,由於體積小且子宮角已被摘除,往往難以找尋。幸而隨著動物醫療進步,依靠電腦斷層、內視鏡等先進設備,卵巢殘留的情況已不再難以處理。
小花是一隻一歲多的母貓,半年前曾在其他醫院做過絕育手術,但手術當下卻只找到單側的子宮卵巢,且在這半年當中仍然反反覆覆地發情,讓飼主十分擔心,於是來到築心尋求治療。在了解小花的狀況後,我們為小花安排了電腦斷層掃描,並在腹腔的左側發現了疑似殘存的卵巢影像(見圖示),接著,在影像定位的協助下順利開腹取出殘存的卵巢和發育異常子宮角,而在殘存的子宮內已然形成了子宮蓄膿。
幸虧子宮蓄膿的情形尚不嚴重,並沒有造成感染範圍的擴散,手術後經過一小段時間的修養,小花目前已經順利拆線,在家過著無憂無慮的生活囉。
![]()

狗狗電腦斷層掃描 不明原因口腔出血 嚴重牙周病 口腔惡性腫瘤 鱗狀上皮細胞癌(Squamous cell carcinoma,SCC)
主訴嘴巴突然流血 口腔潰爛 左下顎腫脹 同時有嚴重牙周病 經由口腔採樣 電腦斷層掃描 確認為鱗狀上皮細胞癌(Squamous cell carcinoma,SCC)同時已經侵犯下顎骨。確診後經由外科醫師、腫瘤科醫師、電腦斷層影像科醫師共同擬定治療計畫後
,大範圍切除左下顎,經過一年追蹤,目前狗狗一切安好喔。
*康復後

*電腦斷層影像
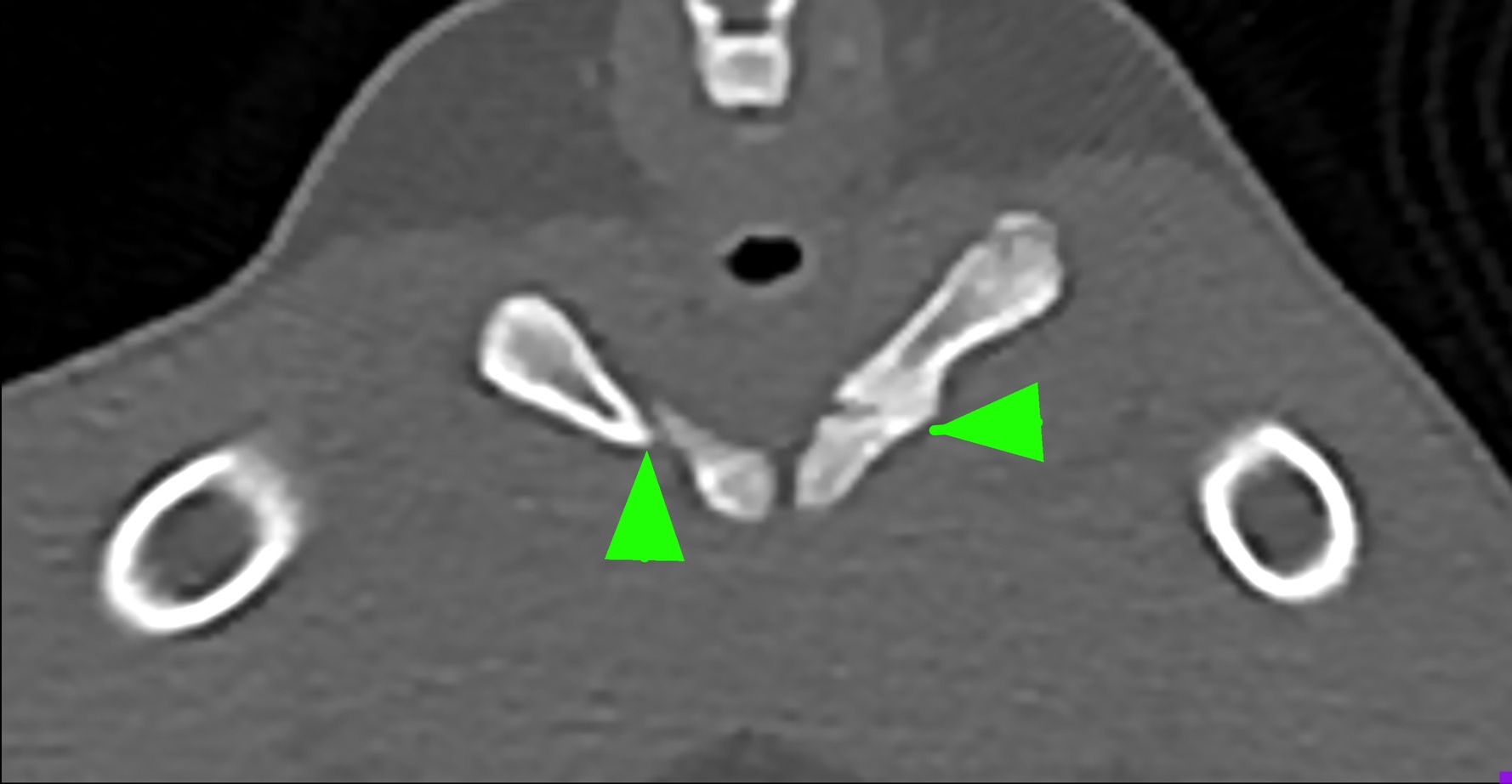
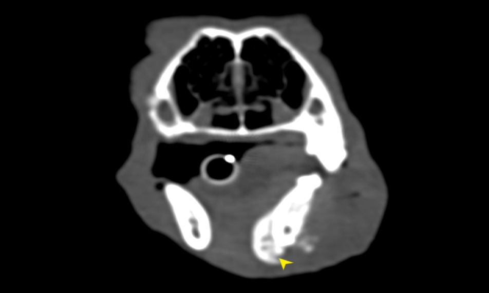
貓咪 下顎骨骨折
頭骨結構較為複雜 頭骨骨折相對於四肢長骨骨折 不容易靠xray 完整評估術前需要靠電腦斷層影像檢查評估骨折狀況才能良好評估手術方式 提高成功率
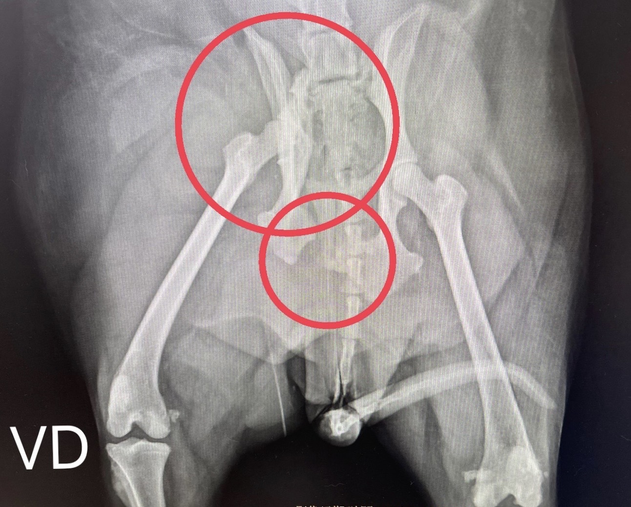
狗狗 車禍 骨盆骨折
狗狗的骨盆骨折相對於常見的四肢骨折 不容易單純靠xray 診斷及擬定手術計畫藉由電腦斷層影像的支援 能提高手術成功的機率
14kg 11歲的莓莓 術後10個月追蹤 行動自如一切正常喔
術前

術後

電腦斷層影像
慢性咳嗽 支氣管肺炎 綠膿桿菌
慢性咳嗽 支氣管肺炎 綠膿桿菌
電腦斷層掃描 氣管支氣管內視鏡探查 支氣管肺泡灌洗(broncho-alveolar lavage, BAL) 細菌培養
電腦斷層掃描 氣管支氣管內視鏡探查 支氣管肺泡灌洗(broncho-alveolar lavage, BAL) 細菌培養
長達5個月的慢性咳嗽就診 反覆支氣管肺炎的狗狗Ainy,因為對藥物的反應時好時壞,
建議用電腦斷層掃瞄與氣管支氣管內視鏡探查評估病因與治療方式
建議用電腦斷層掃瞄與氣管支氣管內視鏡探查評估病因與治療方式
因為需要麻醉、加上侵入性的檢查,醫師跟主人都很擔心術後胸腔狀況會變差。所幸住院兩天後順利離氧出院。
電腦斷層檢查排除結構上異常引起的發炎,支氣管鏡探查發現病灶處有多量異常黏液樣分泌物,
於是進行支氣管肺泡灌洗(broncho-alveolar lavage, BAL)取得檢體,染色下細胞抹片可見發炎細胞跟桿菌,細菌培養結果為綠膿桿菌,對一般抗生素無效。
於是進行支氣管肺泡灌洗(broncho-alveolar lavage, BAL)取得檢體,染色下細胞抹片可見發炎細胞跟桿菌,細菌培養結果為綠膿桿菌,對一般抗生素無效。
於是使用有效的抗生素治療6周後,追蹤到現在近半年都穩定囉
![]()

築心電腦斷層影像診斷
在築心接受電腦斷層掃描的病患,大部分來自新竹苗栗桃園地區的轉診,因此往往需要花比較多的時間,跟友院交接病患病史、了解掃描的需求、同時也要跟毛家長溝通檢查之目的與麻醉、採樣的風險。
整個過程必須要有良好的團隊合作,需麻醉科醫師,擬定適合的麻醉計劃,並監控生理數據。
影像科醫師,負責評估掃描參數設定、操作以及初步影像判讀。
外科/內科醫師,根據不同位置選擇適合採樣的方式,當下定位病灶、採樣。
最後是築心影像顧問 林莉萱 副教授 屏科大獸醫教學醫院影像科主任,把關最終診斷報告。
非常感謝 林莉萱老師,時常與本院醫師遠端會診、討論病例,最後依據最終診斷報告,擬定後續治療計畫。


築心電腦斷層影像診斷 簡介 2
良好的醫療設備,需要經由專業的臨床獸醫師評估下合理使用。希望藉由完整的醫療設備可以幫助大新竹地區的毛孩,得到最好的醫療照護。
以下為近期轉診來築心 電腦斷層掃描的病例

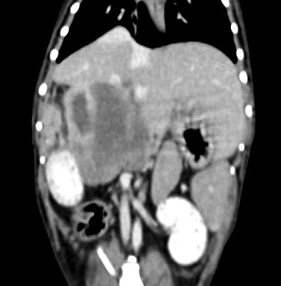
腹腔團塊採樣、術前評估、治療計畫擬定

肝臟團塊,評估範圍、手術可行性、肝臟採樣

IVDD 定位病灶 擬定手術計畫

眼周團塊 定位病灶 採樣 評估治療計畫

貓骨肉瘤 術前評估治療計畫

右上顎腫脹 採樣 評估治療計畫

PSS 診斷 評估手術

骨盆骨折 評估手術計畫

鼻腔疾病 鼻腔鏡探查 採樣 評估治療計畫

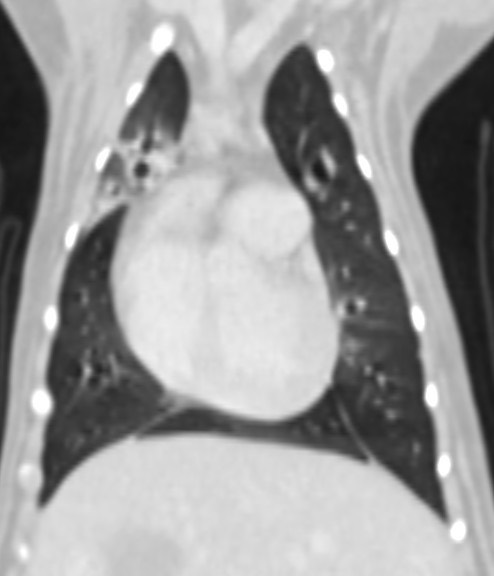
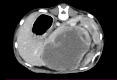
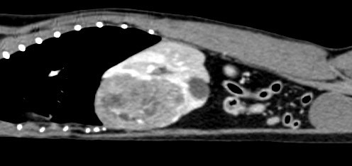
後縱膈腔團塊 採樣 評估治療計畫
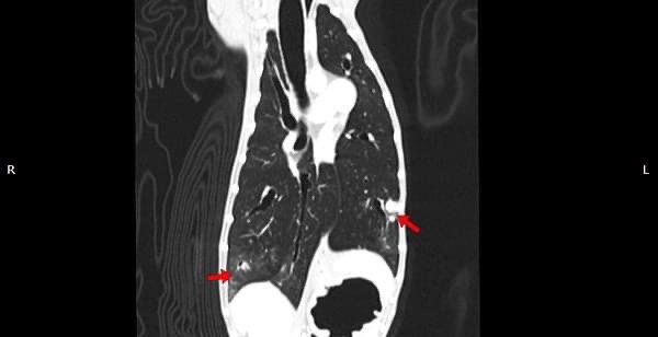
狗狗後腳癱瘓也有可能是血栓 不一定是骨骼神經肌肉問題喔
後肢癱瘓的柴柴經由他院轉診來築心做電腦斷層掃瞄因為狗狗以前病史有椎間盤突出問題
所以以為是脊椎問題想要來評估手術
掃瞄結果診斷為動脈血栓造成
主動脈血栓栓塞是一種急性且危及生命的疾病,當血液凝塊從心臟或其他部位脫落,經過血液循環流向並卡住動脈中的某些血管,造成局部的血液供應中斷、相應部位的器官或組織缺氧,將引起疼痛、損傷甚至壞死。
急性主動脈血栓症狀通常會突然出現,可能包括:
- 劇烈疼痛:狗狗可能會表現出不願動彈、哭叫或舔舐痛處
- 後肢麻痺或無法行走:由於血液無法順利流向後肢,狗狗可能會突然無法站立或走路
- 肛溫過低、後肢冰冷、蒼白或發紫的肉墊
- 由於通往脊髓血流受阻,出現急性神經功能損傷,症狀與神經系統疾病相似
主動脈血栓栓塞在犬中很少見,與在貓咪的成因以心臟疾病為主不同,犬主動脈血栓栓塞與多種可能影響凝血功能問題有關
- 蛋白質流失:蛋白流失性腎病、腸胃道疾病
- 感染:心內膜炎 、敗血症等
- 腎上腺皮質功能亢進症等內分泌疾病
- 腫瘤/癌症
- 免疫系統相關的血液疾病
- 創傷
部分患犬找不到潛在的病因
臨床上可藉由理學檢查、血液學檢查、超音波、電腦斷層等方式來確診犬主動脈血栓栓塞
此患犬在電腦斷層影像以及後續追蹤的超音波下都可見明顯血栓影像
治療方法通常包括:
- 血栓溶解治療:用藥物溶解並預防血栓形成,恢復血液流動
- 疼痛控制與支持療法:包括靜脈輸液、止痛藥物、吸氧治療等,以支援受損的器官和組織
- 高壓氧輔助療法:可降低發炎反應和氧化壓力,阻止血栓產生
- 外科治療:在某些情況下,可能需要手術移除血栓
治療過程中可能出現組織缺氧傷害的後遺症及缺血再灌流損傷的併發症,嚴重壞死的組織可能需手術移除,例如截肢
所幸狗狗經由住院血栓治療 後續回到原醫院復健
目前後腳狀況都持續進步中喔
#狗狗電腦斷層掃瞄 影像科 專業內科






