築心動物醫院
  • 關於築心
    • 核心理念
    • 院內環境
    • 醫療設備
  • 最新消息
  • 診療項目
    • 24h重症加護
    • 夜間急診
    • 高壓氧/雷射
    • 內視鏡微創治療
    • 專業內科
    • 心臟科
    • 腫瘤科
    • 骨科、外科
    • 中醫科
    • 齒科
    • 貓科
    • 眼科
    • 電腦斷層掃描
  • 病例分享
    • 24h重症加護
    • 高壓氧/雷射
    • 內視鏡無創治療
    • 內視鏡微創治療
    • 專業內科
    • 心臟科
    • 腫瘤科
    • 骨科、外科
    • 中醫科
    • 齒科
    • 貓科
    • 眼科
    • 電腦斷層掃描
    • 日常分享
  • 醫師介紹
  • 衛教專區
  • 門診時間
  • 聯絡我們

貓科

  • 首頁
  • 病例分享
  • 貓科
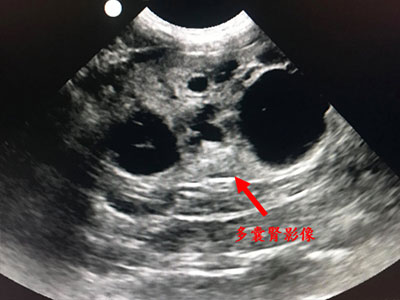
  • 貓咪酒精注射腎臟囊腫抽吸 治療多囊腎病

    貓咪酒精注射腎臟囊腫抽吸 治療多囊腎病

    更多
  • 尿道造口

    尿道造口

    更多
  • 姊姊的糖尿病

    姊姊的糖尿病

    更多
  • 專業內科服務

    專業內科服務

    更多
  • 肥厚性心肌病 心衰竭肺積水

    肥厚性心肌病 心衰竭肺積水

    更多
  • 本院獲得國際貓科醫學會(ISFM)認證貓友善動物醫院

    本院獲得國際貓科醫學會(ISFM)認證貓友善動物醫院

    更多
  • 貓咪專屬的安心醫療空間

    貓咪專屬的安心醫療空間

    更多
  • 愛滋病 口炎 免疫抑制 骨髓抑制 呼吸道感染

    愛滋病 口炎 免疫抑制 骨髓抑制 呼吸道感染

    更多
  • 白血病 骨髓抑制 不再生性貧血 原發性淋巴瘤

    白血病 骨髓抑制 不再生性貧血 原發性淋巴瘤

    更多
  • 遠離巧拼! 認識貓的小腸異物

    遠離巧拼! 認識貓的小腸異物

    更多
  • 可怕的先天性腎臟病-貓的多囊腎

    可怕的先天性腎臟病-貓的多囊腎

    更多
  • 胖貓突然不吃飯,小心致命的脂肪肝

    胖貓突然不吃飯,小心致命的脂肪肝

    更多
  • 常見的致命疾病-貓咪腎損傷

    常見的致命疾病-貓咪腎損傷

    更多
  • 貓白血病及淋巴瘤

    貓白血病及淋巴瘤

    更多
  • 貓愛滋.口炎

    貓愛滋.口炎

    更多
  • For第一次養貓的拔拔麻麻

    For第一次養貓的拔拔麻麻

    更多
  • 貓咪桂圓驚魂記-急性腎損傷

    貓咪桂圓驚魂記-急性腎損傷

    更多
  • «
  • 1
  • »
  • Facebook
  • Messenger
  • Phone
  • Mail

築心動物醫院 電腦斷層掃描 急重症微創腫瘤中心

  • 03-533-8055
  • 03-477-3065
  • zhuxinvh@gmail.com
  • 300 新竹市東區經國路一段654號
築心動物醫院
  • Design by GTUT
  • 網站地圖
  • 隱私權政策