築心動物醫院
  • 關於築心
    • 核心理念
    • 院內環境
    • 醫療設備
  • 最新消息
  • 診療項目
    • 24h重症加護
    • 夜間急診
    • 高壓氧/雷射
    • 內視鏡微創治療
    • 專業內科
    • 心臟科
    • 腫瘤科
    • 骨科、外科
    • 中醫科
    • 齒科
    • 貓科
    • 眼科
    • 電腦斷層掃描
  • 病例分享
    • 24h重症加護
    • 高壓氧/雷射
    • 內視鏡無創治療
    • 內視鏡微創治療
    • 專業內科
    • 心臟科
    • 腫瘤科
    • 骨科、外科
    • 中醫科
    • 齒科
    • 貓科
    • 眼科
    • 電腦斷層掃描
    • 日常分享
  • 醫師介紹
  • 衛教專區
  • 門診時間
  • 聯絡我們

電腦斷層掃描

  • 首頁
  • 病例分享
  • 電腦斷層掃描
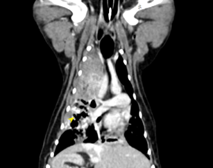
  • 狗狗後腳癱瘓也有可能是血栓 不一定是骨骼神經肌肉問題喔

    狗狗後腳癱瘓也有可能是血栓 不一定是骨骼神經肌肉問題喔

    更多
  • 美國影像專科獸醫師、遠距判讀

    美國影像專科獸醫師、遠距判讀

    更多
  • 臘腸狗狗好發的椎間盤疾病 IVDD 第四級 脊椎外科手術 電腦斷層

    臘腸狗狗好發的椎間盤疾病 IVDD 第四級 脊椎外科手術 電腦斷層

    更多
  • 築心電腦斷層影像診斷 簡介 2

    築心電腦斷層影像診斷 簡介 2

    更多
  • 築心電腦斷層影像診斷

    築心電腦斷層影像診斷

    更多
  • ​IVDD 狗狗的椎間盤疾病 4級癱瘓

    ​IVDD 狗狗的椎間盤疾病 4級癱瘓

    更多
  • 喉頭團塊 呼吸困難 急診

    喉頭團塊 呼吸困難 急診

    更多
  • 夜間急診

    夜間急診

    更多
  • 慢性咳嗽 支氣管肺炎 綠膿桿菌

    慢性咳嗽 支氣管肺炎 綠膿桿菌

    更多
  • 電腦斷層掃描

    電腦斷層掃描

    更多
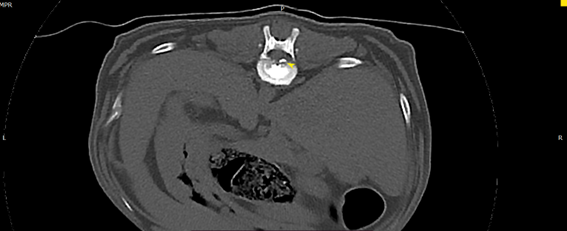
  • 狗狗 車禍 骨盆骨折

    狗狗 車禍 骨盆骨折

    更多
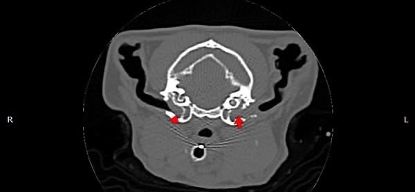
  • 貓咪 下顎骨骨折

    貓咪 下顎骨骨折

    更多
  • 狗狗電腦斷層掃描 不明原因口腔出血 嚴重牙周病 口腔惡性腫瘤 鱗狀上皮細胞癌(Squamous cell carcinoma,SCC)

    狗狗電腦斷層掃描 不明原因口腔出血 嚴重牙周病 口腔惡性腫瘤 鱗狀上皮細胞癌(Squamous cell carcinoma,SCC)

    更多
  • 狗狗 頸椎骨折 電腦斷層影像科

    狗狗 頸椎骨折 電腦斷層影像科

    更多
  • 臘腸狗狗 椎間盤疾病 ivdd

    臘腸狗狗 椎間盤疾病 ivdd

    更多
  • 狗狗 肺臟腫瘤 Pulmonary carcinoma

    狗狗 肺臟腫瘤 Pulmonary carcinoma

    更多
  • 中耳炎

    中耳炎

    更多
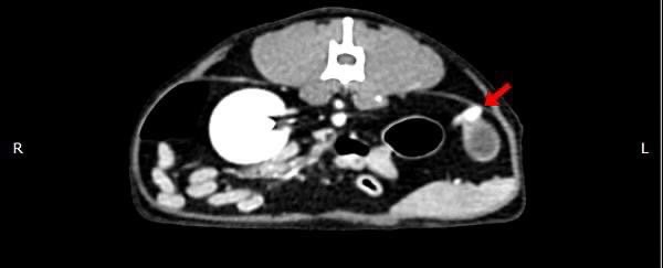
  • 貓咪 鼻腔腫瘤腺癌 Adenocarcinoma

    貓咪 鼻腔腫瘤腺癌 Adenocarcinoma

    更多
  • 貓咪 卵巢殘留

    貓咪 卵巢殘留

    更多
  • 狗狗 鼻腔腫瘤 惡性上皮癌

    狗狗 鼻腔腫瘤 惡性上皮癌

    更多
  • «
  • 1
  • 2
  • »
  • Facebook
  • Messenger
  • Phone
  • Mail

築心動物醫院 電腦斷層掃描 急重症微創腫瘤中心

  • 03-533-8055
  • 03-477-3065
  • zhuxinvh@gmail.com
  • 300 新竹市東區經國路一段654號
築心動物醫院
  • Design by GTUT
  • 網站地圖
  • 隱私權政策