貓咪自發性膀胱炎
預防自發性膀胱炎的小訣竅:
避免貓咪緊迫、提供一個穩定且豐富的環境,貓咪可以有躲藏隱蔽的空間,也可以在高處觀望四周、窗外。盡量避免噪音及家裡環境有過大的變動,也必須提供充足的飲食、飲水及貓砂盆數量(尤其是多貓家庭)。
觀察貓咪異狀,是否有頻尿、血尿、排尿困難、反覆蹲貓砂盆卻沒有排尿的情形,早期發現、治療所產生的併發症會減少許多。
對於緊張焦慮的貓咪,可嘗試使用處方飼料、環境費洛蒙及調整情緒的藥物。
Punna是一隻4歲、已絕育之雄性波斯貓,過去曾經有過兩次泌尿道阻塞、導尿管放置的病史,到院主訴為從兩日前精神食慾差、嘔吐一次、癱軟無力及一直蹲貓砂盆卻沒有排尿。環境為室內飼養,與另一隻貓一起生活。
理學檢查觀察到貓咪出現低體溫、膀胱脹大且觸診疼痛,陰莖口有多量血色結晶樣物質阻塞,6-8%脫水,故懷疑貓咪下泌尿道症候群復發,建議先做影像檢查排除結石及做血檢評估當前身體狀況。
血檢結果發現非常高的腎指數(血中尿素氮:243.4,正常貓咪為17-33;肌酸酐:20.79,正常貓咪為0.8-1.8;血磷:20.6,正常貓咪為2.6-6)、低血鈣、黃疸及高血鉀(8.3,正常貓咪為3.4-4.6)。
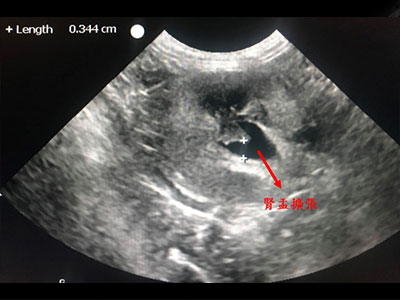
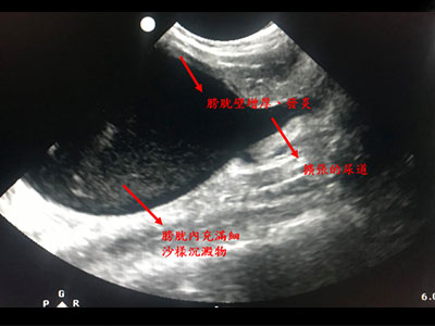
X光下動物泌尿道無明顯結石,超音波下發現膀胱壁增厚及發炎,腎盂、尿道擴張,膀胱內有大量結晶樣物質堆積。當下幫貓咪抽出70毫升之血尿,以緩解貓咪的疼痛不適、避免腎指數快速上升。



住院治療先以輸液調整電解質及補充脫水、並給予電毯維持貓咪體溫,而後為貓咪進行導尿管放置手術及膀胱灌洗,考量到貓咪虛弱,為其制定副作用最低的麻醉計畫,及做好全程麻醉監控。
而在導尿管放置後,需要面臨到的就是阻塞後的利尿現象,醫師持續調整輸液種類及速率,並計算貓咪每日水分的IN-OUT值,以維持貓咪最佳的水合及電解質。
經過三日的治療,腎指數及血鉀皆已回復至正常貓咪參考範圍,貓咪在無導尿管的協助之下,也能自行順利排尿,並在當日出院返家觀察。五日後回診,貓咪腎指數、黃疸指數皆正常,觸診膀胱正常,貓咪也能順利自行排尿。
| # | 血中尿素氮 | 肌酸酐 | 血磷 | 血鉀 |
|---|---|---|---|---|
| 6/19凌晨入院 | 243.4 | 20.79 | 20.6 | 8.3 |
| 6/19晚上 | - | - | - | 4.7 |
| 6/21出院前 | 38.9 | 1.65 | 5.5 | 3.9 |
| 6/26回診 | 18.8 | 1.65 | - | - |