狗膀胱內視鏡無創採樣手術:狗狗膀胱腫瘤手術,上皮細胞癌
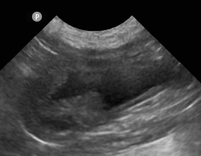
妞妞(化名)是一隻8歲絕育柯基母犬,就診的一年前因為血尿在他院發現有膀胱團塊。
 
傳統開腹採樣術後傷口範圍大、較為疼痛不適,也會有腫瘤種植(tumor seeding)的風險
因此,本院選擇用無創內視鏡,直接從尿道進入膀胱採樣,術後當天可以直接回家,不用傷口照護
採樣結果確診為惡性程度較低的尿路上皮細胞癌
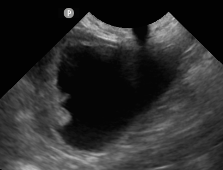
團塊位於膀胱APEX所以可以較大範圍切除,術後持續治療,到現在一年半,目前沒有復發或是轉移跡象
大部分狗狗的膀胱上皮細胞癌都長在三角區的部位無法評估手術切除,所以妞妞是很幸運的毛小孩喔
 
 