狗高惡性肥大細胞瘤 狗皮膚腫瘤 MAST CELL TUMOR MCT
皮膚的肥大細胞瘤如果沒有採樣沒有診斷直接沿邊緣手術切除,有可能白挨一刀甚至惡化喔!
肥大細胞瘤有分為低度惡性、中度惡性及高度惡性,不同惡性程度治療方式不同。
低度惡性手術切除預後良好,高度惡性除了手術切除外還需要搭配後續的腫瘤治療計畫,而且最後還是可能死亡。
6歲絕育母犬 柴柴 就診前三周發現皮膚團塊,且有持續變大的跡象。 就診時團塊直徑約1CM, 細針穿刺檢查初步診斷為肥大細胞瘤。
柴柴本狗
柴柴最初的皮膚團塊
檢查結果
術前細針穿刺初步檢查為肥大細胞瘤
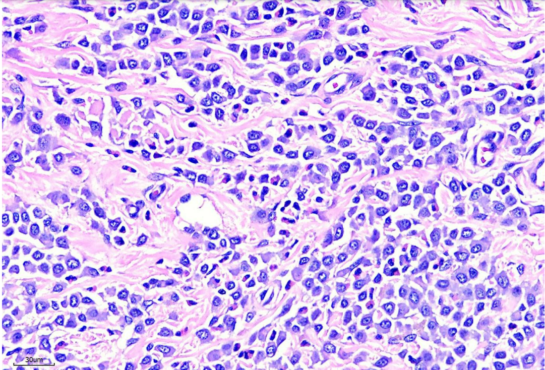
病理切片下確診為高惡性肥大細胞瘤
手術前採樣送檢分級惡性程度,確定為高惡性肥大細胞瘤而且已經有淋巴結轉移,術後使用化療針劑及口服標靶藥物控制,至今8個月還沒有復發及轉移跡象,希望小朋友繼續加油喔!