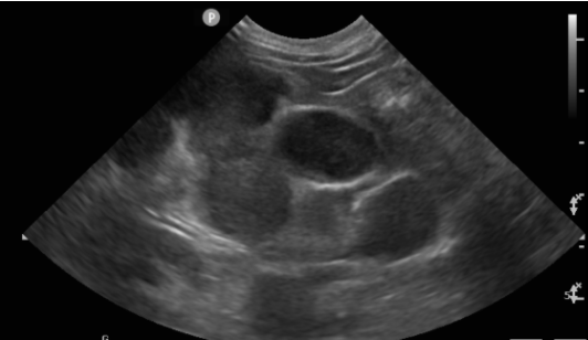
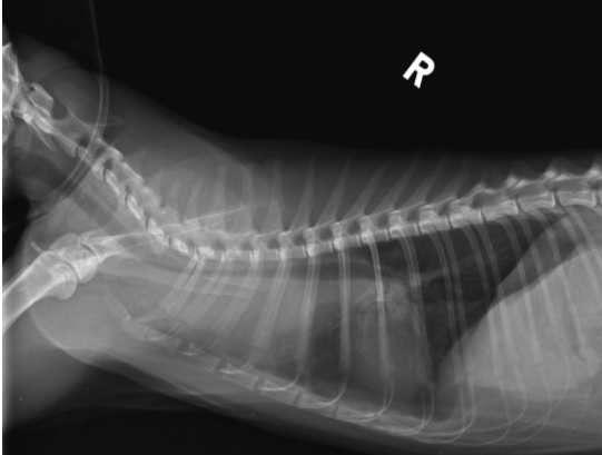
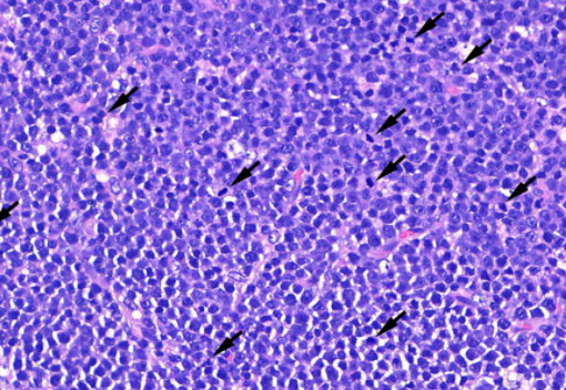
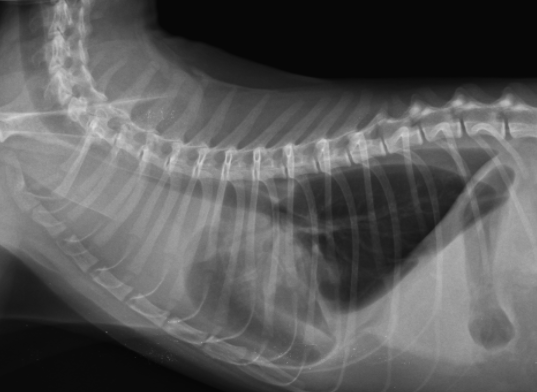
貓 淋巴癌 胸水 胸腔前縱膈腔腫瘤 腹腔淋巴結腫大 化療 不是感冒 首頁 病例分享 腫瘤科 貓 淋巴癌 胸水 胸腔前縱膈腔腫瘤 腹腔淋巴結腫大 化療 不是感冒 1歲已絕育母貓,就診前一周精神食慾下降、咳嗽,在他院診斷感冒治療無效而就醫。 經急診醫師檢查發現有嚴重胸水、前縱膈團塊、腹腔淋巴結腫大。 排除心臟病、白血病等等鑑別診斷後採樣確診為貓咪的淋巴癌。 雖然淋巴癌的治癒率非常低,但對化療有良好反應的機率很高,於是後續開始化療計畫。 影像檢查結果 嚴重胸水 抽完胸水後發現前縱膈腔團塊. 腹腔內淋巴結多發腫大 病理切片: 箭頭所指處為有絲分裂中的淋巴癌細胞