卵巢殘留
卵巢殘留是指雌性動物在進行絕育手術後,仍然有部分卵巢組織殘留,進而導致術後仍然反覆發情,並可能繼發子宮殘端蓄膿、乳腺腫瘤等疾病。而殘存的卵巢,由於體積小且子宮角已被摘除,往往難以找尋。幸而隨著動物醫療進步,依靠電腦斷層、內視鏡等先進設備,卵巢殘留的情況已不再難以處理。
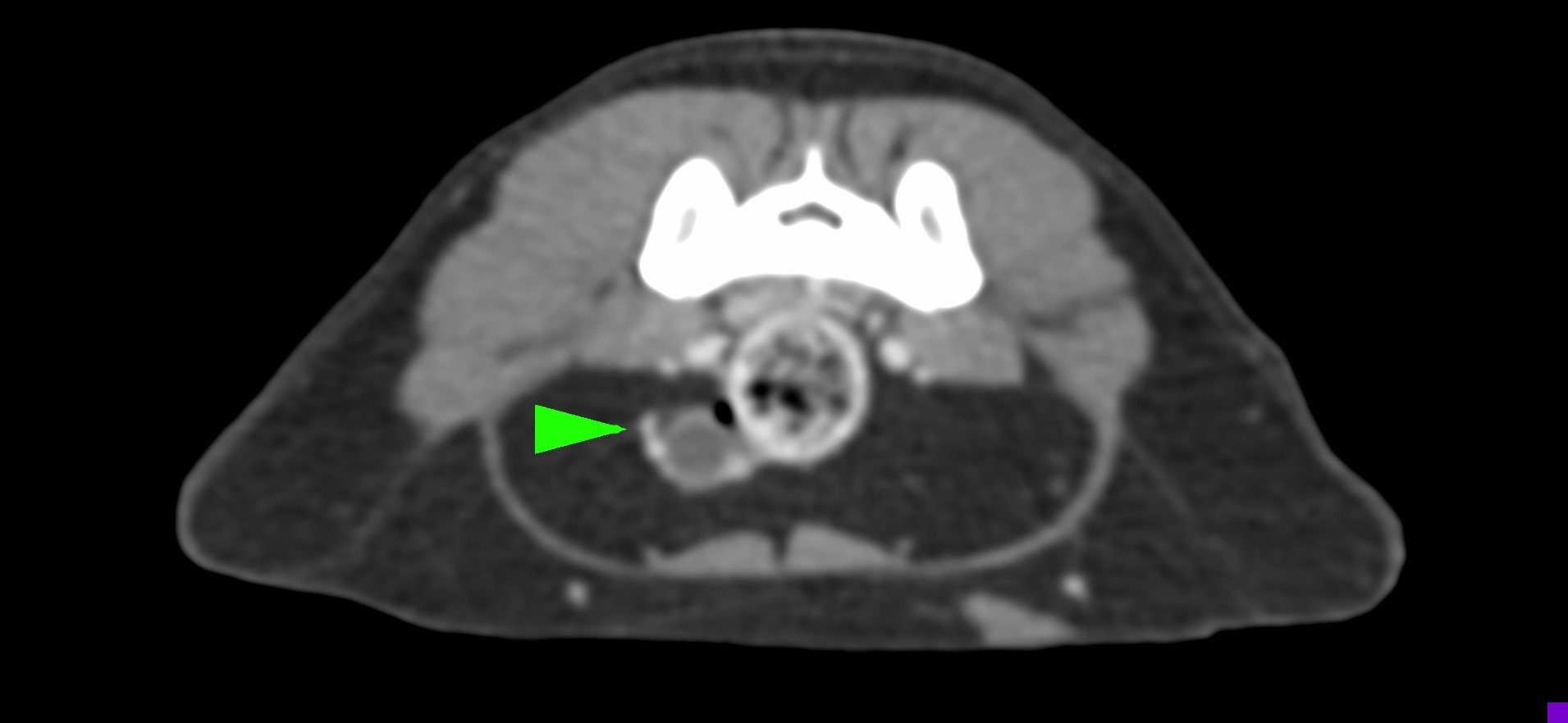
小花是一隻一歲多的母貓,半年前曾在其他醫院做過絕育手術,但手術當下卻只找到單側的子宮卵巢,且在這半年當中仍然反反覆覆地發情,讓飼主十分擔心,於是來到築心尋求治療。在了解小花的狀況後,我們為小花安排了電腦斷層掃描,並在腹腔的左側發現了疑似殘存的卵巢影像(見圖示),接著,在影像定位的協助下順利開腹取出殘存的卵巢和發育異常子宮角,而在殘存的子宮內已然形成了子宮蓄膿。
幸虧子宮蓄膿的情形尚不嚴重,並沒有造成感染範圍的擴散,手術後經過一小段時間的修養,小花目前已經順利拆線,在家過著無憂無慮的生活囉。