狗狗 鼻腔腫瘤 淋巴癌
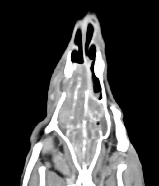
鼻腔腫瘤的診斷需要仰賴電腦斷層掃瞄定位病灶處,同時使用鼻腔內視鏡探查、採樣才能確診,同時有這兩項設備的醫院並不多,所以臨床事並不是那麼容易確診。
狗狗如果有打噴嚏、鼻分泌物 鼻塞,對藥物治療反應不好, 就還是要做進一步檢查才會比較安心唷!
狗狗如果有打噴嚏、鼻分泌物 鼻塞,對藥物治療反應不好, 就還是要做進一步檢查才會比較安心唷!