狗狗 鼻腔腫瘤 惡性上皮癌
鼻腔腫瘤的診斷需要仰賴電腦斷層掃瞄定位病灶處,同時使用鼻腔內視鏡探查、採樣才能確診,同時有這兩項設備的醫院並不多,所以臨床上並不是那麼容易確診。
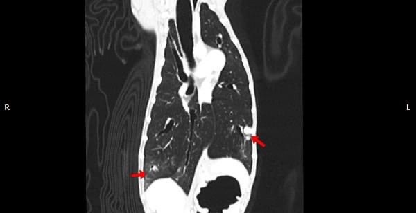
狗狗的慢性鼻炎維持3-4個月,越來越嚴重,他院轉診至築心,經由內視鏡+電腦斷層確認為鼻腔上皮癌,而且由於病程時間長,已經轉移至胸腔,代表壽命不長了,至少家人心中有個答案,有心理準備陪狗狗最後一段路。
狗狗的慢性鼻炎維持3-4個月,越來越嚴重,他院轉診至築心,經由內視鏡+電腦斷層確認為鼻腔上皮癌,而且由於病程時間長,已經轉移至胸腔,代表壽命不長了,至少家人心中有個答案,有心理準備陪狗狗最後一段路。