中耳炎
主訴前庭症狀被他院轉診來築心檢查
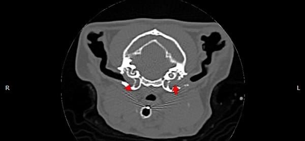
耳道內視鏡探查及電腦斷層發現鼓膜鬆弛部發炎、鼓膜消失,穿刺鼓膜後沖出膿樣物,採樣後確認有細菌感染,確認為中耳炎。
圖為電腦斷層影像
耳道內視鏡探查及電腦斷層發現鼓膜鬆弛部發炎、鼓膜消失,穿刺鼓膜後沖出膿樣物,採樣後確認有細菌感染,確認為中耳炎。
圖為電腦斷層影像