築心動物醫院
  • 關於築心
    • 核心理念
    • 院內環境
    • 醫療設備
  • 最新消息
  • 診療項目
    • 24h重症加護
    • 夜間急診
    • 高壓氧/雷射
    • 內視鏡微創治療
    • 專業內科
    • 心臟科
    • 腫瘤科
    • 骨科、外科
    • 中醫科
    • 齒科
    • 貓科
    • 眼科
    • 電腦斷層掃描
  • 病例分享
    • 24h重症加護
    • 高壓氧/雷射
    • 內視鏡無創治療
    • 內視鏡微創治療
    • 專業內科
    • 心臟科
    • 腫瘤科
    • 骨科、外科
    • 中醫科
    • 齒科
    • 貓科
    • 眼科
    • 電腦斷層掃描
    • 日常分享
  • 醫師介紹
  • 衛教專區
  • 門診時間
  • 聯絡我們

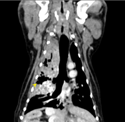
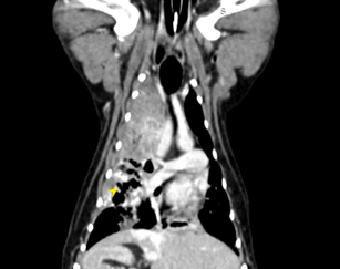
狗狗 肺臟腫瘤 Pulmonary carcinoma

  • 首頁
  • 病例分享
  • 電腦斷層掃描
  • 狗狗 肺臟腫瘤 Pulmonary carcinoma
持續數月的咳喘 他院懷疑心臟問題轉診來築心,經由電腦斷層掃描及胸腔採樣
確診為惡性腫瘤,由於腫瘤已經擴散不適合外科手術,主人最後決定使用化療延長壽命
  • Facebook
  • Messenger
  • Phone
  • Mail

築心動物醫院 電腦斷層掃描 急重症微創腫瘤中心

  • 03-533-8055
  • 03-477-3065
  • zhuxinvh@gmail.com
  • 300 新竹市東區經國路一段654號
築心動物醫院
  • Design by GTUT
  • 網站地圖
  • 隱私權政策