狗狗電腦斷層掃描 不明原因口腔出血 嚴重牙周病 口腔惡性腫瘤 鱗狀上皮細胞癌(Squamous cell carcinoma,SCC)
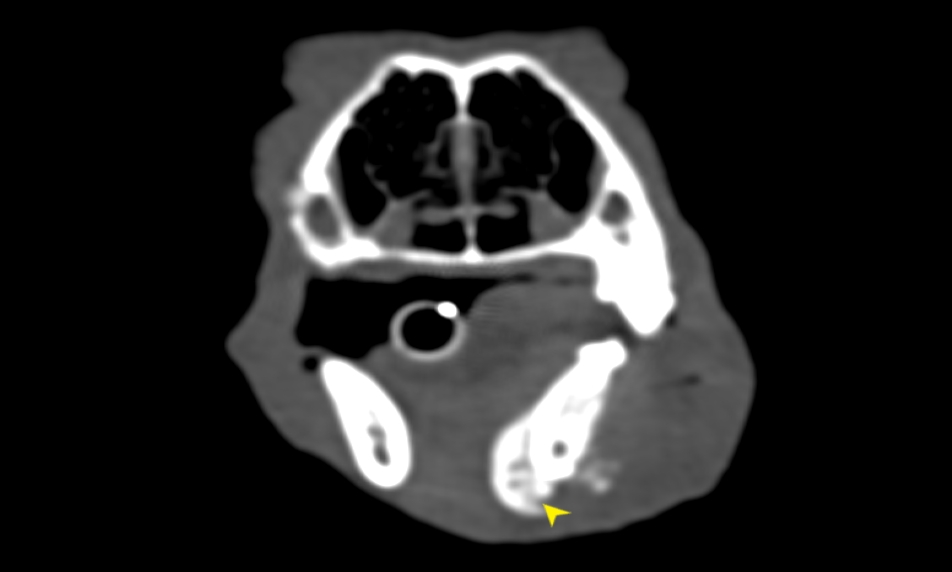
主訴嘴巴突然流血 口腔潰爛 左下顎腫脹 同時有嚴重牙周病 經由口腔採樣 電腦斷層掃描 確認為鱗狀上皮細胞癌(Squamous cell carcinoma,SCC)同時已經侵犯下顎骨。
確診後經由外科醫師、腫瘤科醫師、電腦斷層影像科醫師共同擬定治療計畫後
,大範圍切除左下顎,經過一年追蹤,目前狗狗一切安好喔。
確診後經由外科醫師、腫瘤科醫師、電腦斷層影像科醫師共同擬定治療計畫後
,大範圍切除左下顎,經過一年追蹤,目前狗狗一切安好喔。