貓白血病及淋巴瘤
小花(化名)是一隻年輕的母貓,剛從收容所被領養而帶來醫院檢查,主人表示小花虛弱沒有力氣,於是醫師幫小花做了理學檢查、影像檢查及血液檢查。
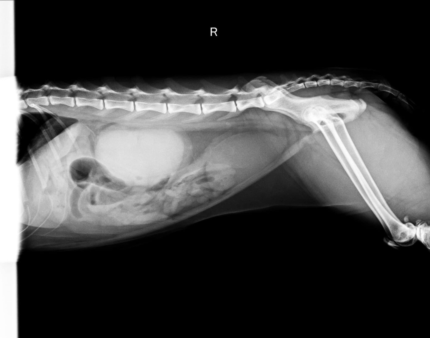
理學檢查發現小花血色蒼白,口腔牙齦嚴重發炎,靠近喉頭位置扁桃腺又紅又腫,腹腔超音波及腹腔x光影像皆發現雙腎不規則腫大。
血液檢查還發現小花白血球跟血小板都偏低,且有嚴重貧血(正常貓咪血容比落在25-45%,低於15%需要輸血治療)小花卻只有11%,且傳染病快篩顯示小花為白血陽性。
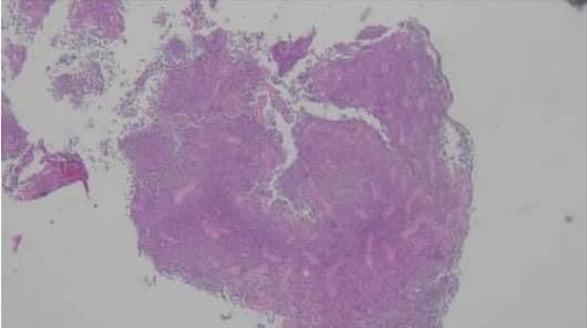
主人決定輸血治療,並於動物狀況穩定下,後續安排腹腔內視鏡腎臟採樣並送病理切片。
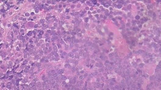
病理切片診斷結果為貓淋巴瘤,可惜後續小花二次貧血且伴隨急性腎衰竭,最後主人決定帶回家安寧。
《關於貓白血病》
貓白血病為流浪動物常見的傳染性疾病,不需要靠傷口,只要接觸到感染者的唾液、尿液、呼吸道分泌物、糞便或乳汁即可感染。
白血病發病時常見臨床症狀為原發性淋巴瘤、貧血(非再生性)、骨髓抑制(全血球減少症)、口炎、繼發性上呼吸道感染,一旦發病大多預後不佳。
尚未發病的白血貓貓我們可以做什麼事情呢?
建議有白血病的貓隻單獨飼養,減少緊迫,另外每半年的健康檢查也是需要的。
剛飼養的貓咪一定要跟家中貓咪嚴格隔離,主要是因為白血病的快篩檢測,需要接觸到病原後的一個月才可能被檢測出。
而多貓家庭及可能會接觸到流浪動物的貓隻,建議施打含白血病的疫苗(無佐劑),施打前一定要記得先驗傳染病快篩喔。
理學檢查發現小花血色蒼白,口腔牙齦嚴重發炎,靠近喉頭位置扁桃腺又紅又腫,腹腔超音波及腹腔x光影像皆發現雙腎不規則腫大。
血液檢查還發現小花白血球跟血小板都偏低,且有嚴重貧血(正常貓咪血容比落在25-45%,低於15%需要輸血治療)小花卻只有11%,且傳染病快篩顯示小花為白血陽性。
主人決定輸血治療,並於動物狀況穩定下,後續安排腹腔內視鏡腎臟採樣並送病理切片。
病理切片診斷結果為貓淋巴瘤,可惜後續小花二次貧血且伴隨急性腎衰竭,最後主人決定帶回家安寧。
《關於貓白血病》
貓白血病為流浪動物常見的傳染性疾病,不需要靠傷口,只要接觸到感染者的唾液、尿液、呼吸道分泌物、糞便或乳汁即可感染。
白血病發病時常見臨床症狀為原發性淋巴瘤、貧血(非再生性)、骨髓抑制(全血球減少症)、口炎、繼發性上呼吸道感染,一旦發病大多預後不佳。
尚未發病的白血貓貓我們可以做什麼事情呢?
建議有白血病的貓隻單獨飼養,減少緊迫,另外每半年的健康檢查也是需要的。
剛飼養的貓咪一定要跟家中貓咪嚴格隔離,主要是因為白血病的快篩檢測,需要接觸到病原後的一個月才可能被檢測出。
而多貓家庭及可能會接觸到流浪動物的貓隻,建議施打含白血病的疫苗(無佐劑),施打前一定要記得先驗傳染病快篩喔。