慢性咳嗽 支氣管肺炎 綠膿桿菌
慢性咳嗽 支氣管肺炎 綠膿桿菌
慢性咳嗽 支氣管肺炎 綠膿桿菌
電腦斷層掃描 氣管支氣管內視鏡探查 支氣管肺泡灌洗(broncho-alveolar lavage, BAL) 細菌培養
電腦斷層掃描 氣管支氣管內視鏡探查 支氣管肺泡灌洗(broncho-alveolar lavage, BAL) 細菌培養
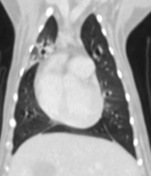
長達5個月的慢性咳嗽就診 反覆支氣管肺炎的狗狗Ainy,因為對藥物的反應時好時壞,
建議用電腦斷層掃瞄與氣管支氣管內視鏡探查評估病因與治療方式
建議用電腦斷層掃瞄與氣管支氣管內視鏡探查評估病因與治療方式
因為需要麻醉、加上侵入性的檢查,醫師跟主人都很擔心術後胸腔狀況會變差。所幸住院兩天後順利離氧出院。
電腦斷層檢查排除結構上異常引起的發炎,支氣管鏡探查發現病灶處有多量異常黏液樣分泌物,
於是進行支氣管肺泡灌洗(broncho-alveolar lavage, BAL)取得檢體,染色下細胞抹片可見發炎細胞跟桿菌,細菌培養結果為綠膿桿菌,對一般抗生素無效。
於是進行支氣管肺泡灌洗(broncho-alveolar lavage, BAL)取得檢體,染色下細胞抹片可見發炎細胞跟桿菌,細菌培養結果為綠膿桿菌,對一般抗生素無效。
於是使用有效的抗生素治療6周後,追蹤到現在近半年都穩定囉