外力撞擊造成肱骨骨折的喵咪 右肘關節脫位 手術完整的復位 小腸異物阻塞
外力撞擊造成肱骨骨折的喵咪 手術完整的復位



回診時患肢已可負重,在診間呼嚕呼嚕的樣子跟一開始痛到抓狂判若兩貓

左前肢橈尺骨骨折
一個跳躍後左前肢突然不敢採地的壯壯,經X光確認為左前肢橈尺骨骨折,手術完美復位,目前已可正常行走。
術前


術後


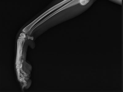
右肘關節脫位
不慎被車子撞到的NONO,經X光診斷發現右肘關節脫位,施行人工韌帶固定術後目前已可恢復行走。
術前


術後


小腸異物阻塞
吐了一天的來福,經治療沒有改善。觸診及超音波檢查疑似有小腸異物阻塞,開腹探查取出異物時,發現小腸有少部分壞死,施行部分截腸手術後恢復良好。

