膝蓋骨異位

 

       白白(化名)因左後腳不負重反反覆覆約一個禮拜所以來本院就診,
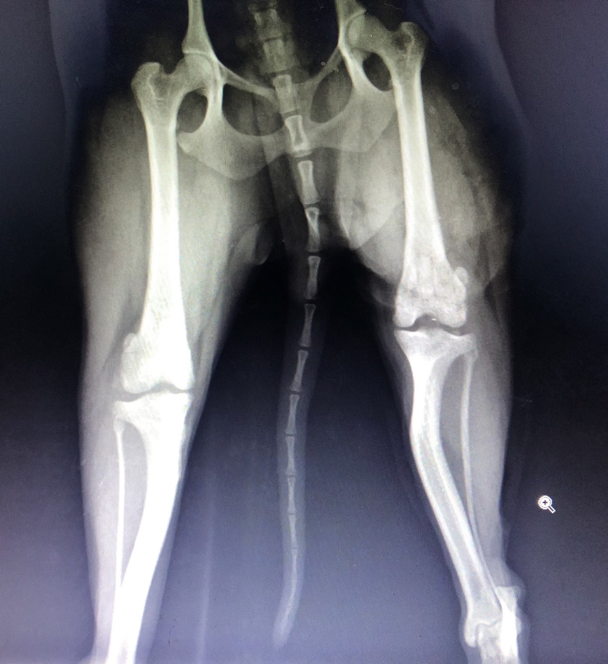
經觸診搭配x光影像發現左後腳膝蓋骨異位2-3級,
和主人溝通後因擔心後續狀況越來越嚴重,

所以想積極手術治療。

很快的幫白白做術前檢查並且安排手術,
術後住院觀察三天搭配後續的復健及限制運動,
很快地原本三隻腳走路的白白已經可以用四隻腳正常行走囉。

 

膝蓋骨異位

常見於小型犬的先天性骨科疾病(例如:貴賓、馬爾濟斯、博美……等等。)
根據文獻報告統計約
75%為內側膝蓋骨異位,且可能有50%以上同時有雙側異位問題。

 

床症狀不一定和嚴重度呈現正相關,可見到動物間斷性抬腳、
步態異常
/無異常,最嚴重有導致骨頭變形而無法行走。

 

分為四個等級:(正常情況下膝蓋骨皆在滑車溝內)


    第一級:施予壓力時可將膝蓋骨推出,但壓力移除時可自行回到正常滑車溝位置。

 

    第二級:施予壓力時可將膝蓋骨推出,但壓力移除後仍維持在脫出的位置,
                                  不會立即回到滑車溝內。

 

    第三級:此情況下膝蓋骨通常皆不在滑車溝正常位置內,施予壓力時可將
                                   
膝蓋骨暫時推回到正常位置內,但膝蓋骨仍維持在脫出的位置。

    
第四級:為最嚴重的狀況,此情況下膝蓋骨總是在不正常的脫出位置,
                                  就
算施予壓力也無法回到正常滑車溝內。

  

   外科手術治療可分為滑車溝加深、大/小腿骨的畸形角度矯正、
修整
/重疊過鬆的韌帶……等等,
   手術方式有可能是上述多種結合一起,
   取決於外科醫師術中所見患肢的異常情形及膝關節組織結構操作有關而來制定,

術前x光 左後肢膝蓋骨異位


 

滑車溝加深


 

 將膝蓋骨放回加深的滑車溝內

術後x