狗狗可以痊癒的腫瘤 會傳染的腫瘤 TVT 傳染性花柳性腫瘤
狗狗可以痊癒的腫瘤 會傳染的腫瘤 TVT 傳染性花柳性腫瘤 狗狗的性病 Canine Transmissible Venereal Tumor
病史不明的浪狗小黑剛被帶來醫院的時候,生殖器腫瘤範圍大 嚴重潰爛 腹腔也有發現團塊,同時身上有絕育的縫線傷口,該傷口化膿,嚴重感染。
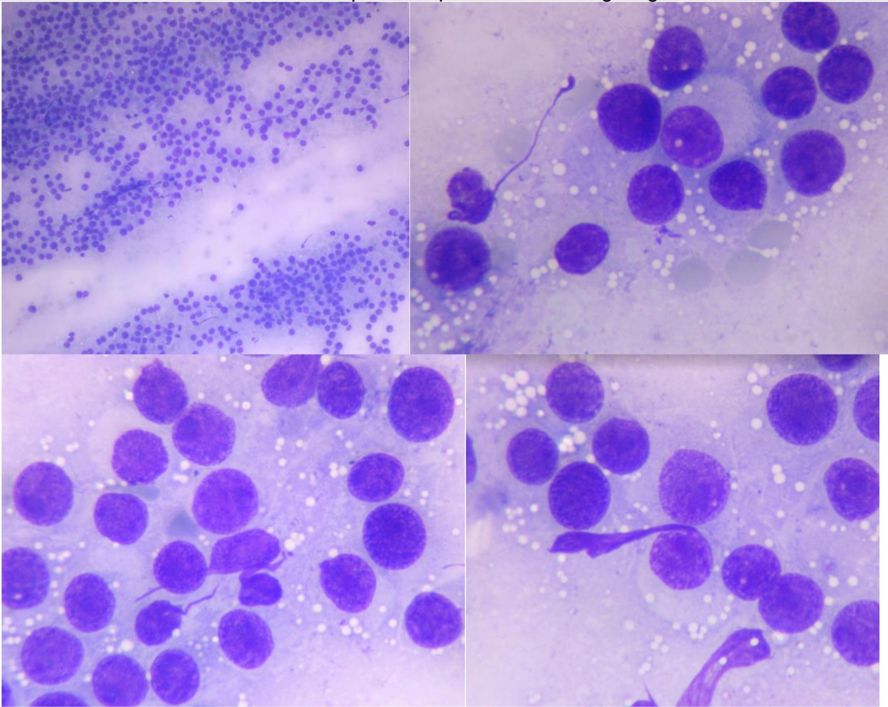
採樣確診是TVT TVT 傳染性花柳性腫瘤,雖然這種腫瘤預後良好 ,痊癒機率很高,
但是小黑就診的時候嚴重營養不良,身上有嚴重感染的縫線傷口,如果直接化療感染很有可能惡化,住院期間同時治療感染的傷口,
同時努力養胖小黑,期間小黑還有因為嗜酸球性肺炎暫停化療,持續依照身體狀況穿插化療計畫。
小黑的腫瘤越來越小到最後痊癒,體態也越來越胖。小黑非常乖巧親人,快出院前同事們都捨不得讓她離開了呢。