心臟腫瘤
犬的心臟腫瘤非常罕見,貓就更少了。
在犬,最常見的心臟腫瘤為HAS (hemangiosarcoma ),其次為主動脈體瘤 (化學受器瘤 chemodectoma)、副神經節瘤 (paraganglioma),最後才是其他較少見的腫瘤。而貓,最常見的則是淋巴瘤 (lymphoma) 。
跟人不一樣的是,HAS 占了犬心臟腫瘤的40-69%,很多時候會懷疑腫瘤是轉移來的,因為很多HAS在發現的時候,除了心臟,在其他地方也有看到病灶。
而化學受器瘤則比較常見於老年短吻犬,比較懷疑和慢性缺氧可能有關連性。
心臟腫瘤在臨床上其實很難被發現,除非他造成了明顯的臨床症狀。 如果腫瘤太小或是生長的位置沒有造成心臟功能的異常,很常是無法被發現的。
犬最常發生心臟腫瘤的位置是右心房跟右心耳。
心臟腫瘤會影響該部位組織的正常功能,可能會造成心臟血管的阻塞、心臟衰竭、心律不整,和最常見的心包囊積液。當有這些臨床症狀的時候,才比較有機會被發現有心臟腫瘤。
臨床症狀:
心臟腫瘤產生的症狀,跟他團塊長的位置,還有有沒有造成心包囊積液有關係。
團塊本身可能會阻塞流入或流出心臟的路徑,壓迫心臟,還有產生心包囊積液,或浸潤心肌組織,造成心臟收縮力或心律的異常。
HAS常造成心包囊積液,心臟填塞,或是破裂造成急性失血死亡。也常因長於右心,造成右心衰竭的症狀 (例如:腹水,胸水,呼吸困難,昏厥….等)。
如果腫瘤比較小,或位於不影響到心臟功能的位置,就很難會被發現;所以大部分的心臟腫瘤,都必須在心臟功能造成影響之後,才比較容易被發現。
心包囊積液症狀常見有:無力、呼吸困難、腹水、奇異脈、癱軟……等;有很大機率,都是因為心包囊積液的臨床症狀,才會發現和懷疑心臟是有腫瘤的。
所以如果有類似症狀,建議進行心臟檢查,進行完整評估。
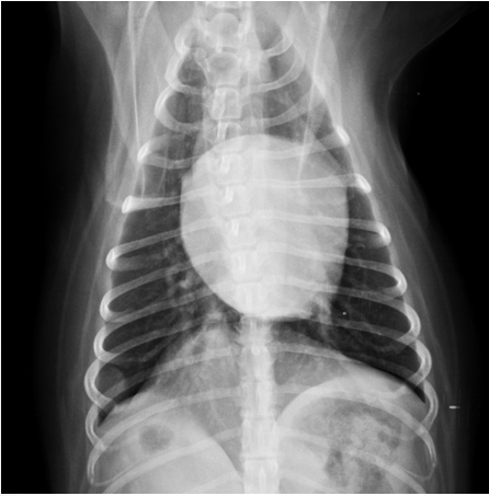
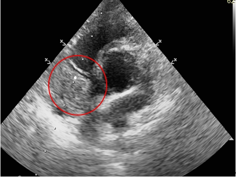
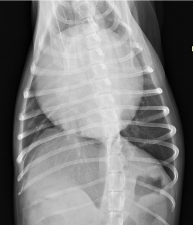
胸腔x光評估胸腔有無團塊,心臟大小;如果有心包囊積液,心臟會呈現圓且大的型態 (球形)。心臟超音波下評估心臟功能,心臟內外有無團塊樣組織,有無心包囊積液。
心臟腫瘤’病患若出現心律不整和心衰竭的臨床症狀時,必須先優先處理。
如果心包囊積液嚴重造成心包填塞,必須進行心包穿刺液體引流,以免造成心包填塞,而有生命危險。甚至進行心包囊切開術,進行液體引流。
有接受心包切除術的患犬,相較於沒有接受心包切除術的患犬,中位存活時間較久 (730天 v.s. 42天) 。另一方 面較為可惜的是,大部分心臟腫瘤的病例,對於內科治療反應普遍並不理想。

圖左為 患犬無心包囊積液時的心臟
圖右為 同一隻患犬心包囊積液後,

紅色圈為心臟超音波下,右心房內團塊
參考文獻 :
Manual_of_Canine_and_Feline_Cardiology_4th
小動物臨床腫瘤學
