脾臟腫瘤文案
                                                                  <<腹腔的不定時炸彈—血管肉瘤病例分享 Hemangiosarcoma, HSA>>
14歲的狗狗阿班,夜間因急性嘔吐、發抖無力而來本院急診
主人表示直到當天早上,阿班都還一切正常,沒有任何不舒服
但晚間外出散步完就開始出現發抖無力、嘔吐及精神食慾下降等不舒服症狀
跟平常活潑好動的個性,有著很大的差距
在詢問完狗狗過去的病史後,獸醫師面對如此“不特異“的症狀,除了盡快釐清外出有無誤食的可能 外,也在理學檢查中找到血色蒼白、腹腔疼痛等線索,逐漸將檢查的重點轉移至腹腔
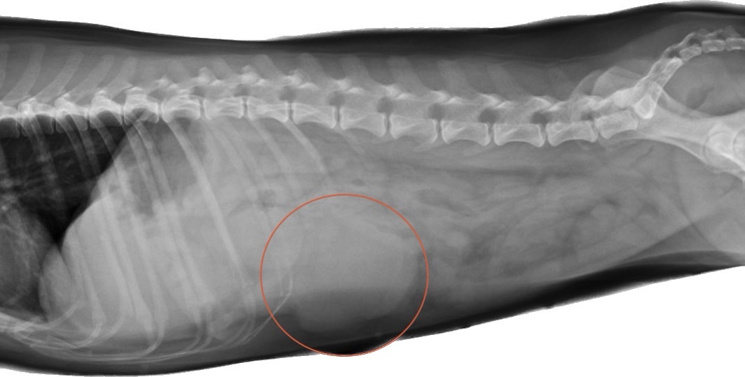
X光檢查結果,阿班的腹腔中長了一顆還不小的團塊,並在超音波下確認是脾臟起源,也同時看到內出血的產生
而後阿班接受了電腦斷層檢查以及脾臟摘除手術,在手術結束的隔天,精神跟食慾就順利恢復了
團塊的病理結果為“血管肉瘤“,是一種具高度轉移性的惡性腫瘤,通常在腫瘤生長的早期、產生轉 移的機會就已經非常高了 在手術傷口恢復後,阿班目前正以化療以及影像檢查等方式,持續追蹤腹腔的變化
疾病補充:
1. 狗血管肉瘤是一種高度惡性、高度侵犯性且預後不良的腫瘤,約有超過一半原發在脾臟,四分之一發生在心臟,確診後僅有10%的機會可以存活超過一年
2. 腫瘤尚未破裂出血或造成心臟衰竭時,通常不具有特別明顯的症狀,因此常常被忽略,等到來院就診時就已經很嚴重了。若平時沒有定期健康檢查,幾乎很難提早發現
3. 若脾臟已經破裂造成內出血,首選治療方式為盡快施行脾臟摘除手術,並視動物情況評估輸血, 術後搭配化療藥物有助於延長存活時間中位數
———————————————————————————————————————
另外... 臨床醫療上,我們常常遇到主訴是:動物怪怪的、好像會一直想躲起來,或是跟平常的個性不太一 樣、比較焦躁不安等等...。
獸醫師常常面對毛孩們比較不特異的症狀時(精神食慾變差、發燒/失溫、虛弱、發抖及癱軟),
除非飼主能提供明確的原因或者理學檢查有顯著異常,否則通常很難在第一時間判斷病因,仍需仰賴 完整的檢查來排除嚴重疾病,再討論後續的治療
![]()
![]()
![]()
#脾臟腫瘤#血管肉瘤#新竹犬貓血庫#夜間照護#電腦斷層#急診手術#超音波刀
                                      14歲的狗狗阿班,夜間因急性嘔吐、發抖無力而來本院急診
主人表示直到當天早上,阿班都還一切正常,沒有任何不舒服
但晚間外出散步完就開始出現發抖無力、嘔吐及精神食慾下降等不舒服症狀
跟平常活潑好動的個性,有著很大的差距
在詢問完狗狗過去的病史後,獸醫師面對如此“不特異“的症狀,除了盡快釐清外出有無誤食的可能 外,也在理學檢查中找到血色蒼白、腹腔疼痛等線索,逐漸將檢查的重點轉移至腹腔
X光檢查結果,阿班的腹腔中長了一顆還不小的團塊,並在超音波下確認是脾臟起源,也同時看到內出血的產生
而後阿班接受了電腦斷層檢查以及脾臟摘除手術,在手術結束的隔天,精神跟食慾就順利恢復了
團塊的病理結果為“血管肉瘤“,是一種具高度轉移性的惡性腫瘤,通常在腫瘤生長的早期、產生轉 移的機會就已經非常高了 在手術傷口恢復後,阿班目前正以化療以及影像檢查等方式,持續追蹤腹腔的變化
疾病補充:
1. 狗血管肉瘤是一種高度惡性、高度侵犯性且預後不良的腫瘤,約有超過一半原發在脾臟,四分之一發生在心臟,確診後僅有10%的機會可以存活超過一年
2. 腫瘤尚未破裂出血或造成心臟衰竭時,通常不具有特別明顯的症狀,因此常常被忽略,等到來院就診時就已經很嚴重了。若平時沒有定期健康檢查,幾乎很難提早發現
3. 若脾臟已經破裂造成內出血,首選治療方式為盡快施行脾臟摘除手術,並視動物情況評估輸血, 術後搭配化療藥物有助於延長存活時間中位數
———————————————————————————————————————
另外... 臨床醫療上,我們常常遇到主訴是:動物怪怪的、好像會一直想躲起來,或是跟平常的個性不太一 樣、比較焦躁不安等等...。
獸醫師常常面對毛孩們比較不特異的症狀時(精神食慾變差、發燒/失溫、虛弱、發抖及癱軟),
除非飼主能提供明確的原因或者理學檢查有顯著異常,否則通常很難在第一時間判斷病因,仍需仰賴 完整的檢查來排除嚴重疾病,再討論後續的治療



#脾臟腫瘤#血管肉瘤#新竹犬貓血庫#夜間照護#電腦斷層#急診手術#超音波刀
 
 