膀胱內視鏡
膀胱內視鏡
尿路結石症是伴侶動物醫學最常見的疾病之一,其可能引發膀胱發炎、泌尿道感染、血尿、尿路阻塞,甚至引發腎損傷;
因此,要預防尿路結石的相關併發症,及時的診斷和醫療介入是非常重要的。
因此,要預防尿路結石的相關併發症,及時的診斷和醫療介入是非常重要的。
膀胱結石症的外科治療部分,傳統的膀胱切開術和尿道切開術仍是伴侶動物醫學常見的選項。然而,近年來有越來越多研究顯示了傳統膀胱切開術的不足,
例如在一篇研究中提到,在犬的膀胱切開術後仍有結石殘留的病患比例約為20%。一篇2008年的研究也提到,約有9.4%的膀胱結石復發是因為膀胱內縫線引起。
而不論膀胱切開術選擇何種封閉方式,發生術後併發症的比例仍有37%至50%;其中平均術後住院時間為4天。
上述的例子,更凸顯出微創手術的優勢,包括:較少的術後併發症、較少的結石復發率、更精準和有效率的移除結石,以及較短的術後住院照護時間;
例如在一篇研究中提到,在犬的膀胱切開術後仍有結石殘留的病患比例約為20%。一篇2008年的研究也提到,約有9.4%的膀胱結石復發是因為膀胱內縫線引起。
而不論膀胱切開術選擇何種封閉方式,發生術後併發症的比例仍有37%至50%;其中平均術後住院時間為4天。
上述的例子,更凸顯出微創手術的優勢,包括:較少的術後併發症、較少的結石復發率、更精準和有效率的移除結石,以及較短的術後住院照護時間;
種種優點使得泌尿道微創手術成為伴侶動物醫學領域的新寵。泌尿道微創手術包含尿水推進術(urohydropropulsion)、
經尿道膀胱鏡取結石術、腹腔鏡輔助之膀胱切開術,和經皮膀胱結石取出術等。
依據病患的體型、性別、結石的大小、位置、數量等,各有合適的微創手術選項。
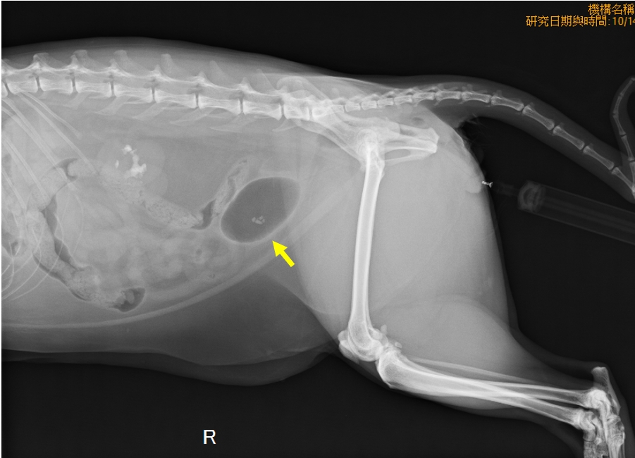
喵喵是一隻九歲已絕育的公貓,因為頻尿、排尿疼痛等症狀,於外院診斷為膀胱結石症並轉診至本院。於門診的X光片下,
經尿道膀胱鏡取結石術、腹腔鏡輔助之膀胱切開術,和經皮膀胱結石取出術等。
依據病患的體型、性別、結石的大小、位置、數量等,各有合適的微創手術選項。
喵喵是一隻九歲已絕育的公貓,因為頻尿、排尿疼痛等症狀,於外院診斷為膀胱結石症並轉診至本院。於門診的X光片下,
可見到尿道中有四顆細小的結石(圖一)、雙側腎臟各有數顆結石,以及異常漲大的膀胱,表示結石已完全阻塞了尿路;而血檢亦顯示出腎指數上升,表示因為無法排尿,喵喵已出現了急性的腎損傷。
在和主人解釋傳統膀胱切開術和微創手術的優缺點後,主人心疼喵喵術後可能會產生的疼痛,毫不猶豫選擇了微創手術。
在和主人解釋傳統膀胱切開術和微創手術的優缺點後,主人心疼喵喵術後可能會產生的疼痛,毫不猶豫選擇了微創手術。
由於貓咪的體型較小,手術前會先藉由導尿將尿道中的結石沖回膀胱(圖二),再用腹腔鏡將結石取出。照片中可見腹部和膀胱切創的大小都僅約2公分寬(圖三);
藉由內視鏡的鏡頭,可清晰的看見結石並以夾取鉗取出(圖四),相較於傳統手術需透過觸摸來探查結石,微創手術大幅縮短了麻醉及術後恢復的時間。
術後一週回診,主人說喵喵排尿情形和食慾已恢復以往,血檢的腎指數也已下降許多。然而結石症的治療屬於長期抗戰,
藉由內視鏡的鏡頭,可清晰的看見結石並以夾取鉗取出(圖四),相較於傳統手術需透過觸摸來探查結石,微創手術大幅縮短了麻醉及術後恢復的時間。
術後一週回診,主人說喵喵排尿情形和食慾已恢復以往,血檢的腎指數也已下降許多。然而結石症的治療屬於長期抗戰,
接下來仍需配合著處方飼料、體重控制和維持飲水,需要喵喵、家人和醫院一起努力,共同預防結石的復發!
![]()
圖一、X光側照可見腎臟結石、漲大的膀胱,和尿道中有四顆結石。
![]()
圖二、導尿後,搭配負造影可見四顆結石被回推至膀胱內。
![]()
圖三、微創手術的體表傷口僅約2公分長,膀胱切創的長度也小於傳統手術。
![]()
圖四、內視鏡下可清楚的看見結石,並使用夾取鉗取出結石。
![]()

圖一、X光側照可見腎臟結石、漲大的膀胱,和尿道中有四顆結石。

圖二、導尿後,搭配負造影可見四顆結石被回推至膀胱內。

圖三、微創手術的體表傷口僅約2公分長,膀胱切創的長度也小於傳統手術。

圖四、內視鏡下可清楚的看見結石,並使用夾取鉗取出結石。
