脛骨平台水平矯形術
脛骨平台水平矯形術(Tibial Plateau Leveling Osteotomy ; 簡稱TPLO)
狗狗十字韌帶斷裂手術
什麼時候需要做TPLO呢?
此手術主要是用在前十字韌帶受傷的狗狗,理學檢查會發現抽屜試驗異常,並且臨床症狀可見到急性或是慢性跛行,嚴重患肢會完全不負重,進而導致肌肉萎縮。
何謂TPLO?
原理為改變膝關節的運動力學。
在脛骨進行環狀切割,藉由手術改變脛骨平台關節面的角度,並且使用TPLO骨板固定,使股骨不再向後滑動抑或是脛骨不再向前滑動,因此就不需額外使用線材做人工韌帶,也可避免人工韌帶可能發生的問題。
注意事項
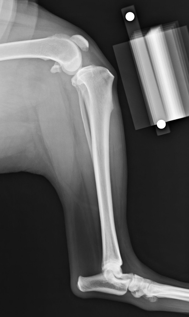
要施行TPLO前必須要嚴謹的評估手術必要性,並且需輕度麻醉/鎮靜拍攝X光才能精準計算所需改變的角度。
*本院引進義大利原廠Intrauma TPLO骨板器械來進行手術
哈士奇嚕嚕 十一月初外出散步時發現左後腳偶爾不太負重,主人非常細心的觀察到嚕嚕在慢走時左後腳會踩,但快走時就會成三腳走,在他院開消炎止痛藥後沒有改善就到本院進一步檢查。
理學檢查下抽屜試驗及脛骨施壓試驗發現異常懷疑十字韌帶有受損,和主人討論後續治療並且鎮靜拍x光評估脛骨平台水平矯形術(Tibial Plateau Leveling Osteotomy ; 簡稱TPLO)
目前已術後一個月囉~嚕嚕步態一天比一天進步,回診追蹤狀況都很穩定。
狗狗十字韌帶斷裂手術
什麼時候需要做TPLO呢?
此手術主要是用在前十字韌帶受傷的狗狗,理學檢查會發現抽屜試驗異常,並且臨床症狀可見到急性或是慢性跛行,嚴重患肢會完全不負重,進而導致肌肉萎縮。
何謂TPLO?
原理為改變膝關節的運動力學。
在脛骨進行環狀切割,藉由手術改變脛骨平台關節面的角度,並且使用TPLO骨板固定,使股骨不再向後滑動抑或是脛骨不再向前滑動,因此就不需額外使用線材做人工韌帶,也可避免人工韌帶可能發生的問題。
注意事項
要施行TPLO前必須要嚴謹的評估手術必要性,並且需輕度麻醉/鎮靜拍攝X光才能精準計算所需改變的角度。
*本院引進義大利原廠Intrauma TPLO骨板器械來進行手術
哈士奇嚕嚕 十一月初外出散步時發現左後腳偶爾不太負重,主人非常細心的觀察到嚕嚕在慢走時左後腳會踩,但快走時就會成三腳走,在他院開消炎止痛藥後沒有改善就到本院進一步檢查。
理學檢查下抽屜試驗及脛骨施壓試驗發現異常懷疑十字韌帶有受損,和主人討論後續治療並且鎮靜拍x光評估脛骨平台水平矯形術(Tibial Plateau Leveling Osteotomy ; 簡稱TPLO)
目前已術後一個月囉~嚕嚕步態一天比一天進步,回診追蹤狀況都很穩定。

