貓咪酒精注射腎臟囊腫抽吸 治療多囊腎病
貓咪酒精注射腎臟囊腫抽吸-治療多囊腎病
(Polycystic Kidney Disease,簡稱PKD)是一種遺傳性疾病,會導致腎臟中形成多個充滿液體的囊腫。
這些囊腫會隨著時間增大,進而壓迫腎臟組織,影響腎臟的功能,甚至導致腎衰竭。


多囊腎的症狀:
早期無明顯症狀。
病情進展後,可能會出現以下症狀:
- 飲水量和排尿量增加
- 疲倦或活動力下降
- 食慾不振或體重減輕
- 嘔吐
- 腹部腫脹或腎臟區域疼痛
小叮嚀:多囊腎也可能發生在年輕的貓咪,並非中老年貓才會罹患腎病,因此有相關症狀都需要就診檢查。

主要病因:
- 遺傳因素:貓的多囊腎病通常是由遺傳引起的,特別是在某些品種中較為常見。最常見的品種包括波斯貓、英國短毛貓和其他一些純種貓。
診斷:
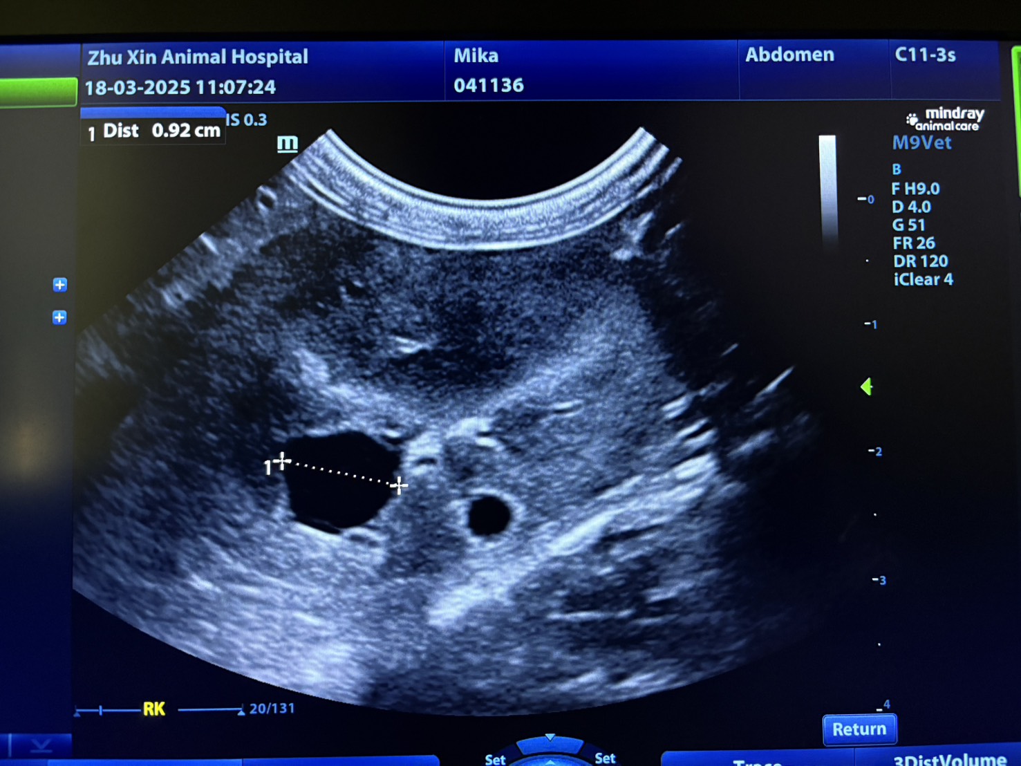
超音波檢查:診斷多囊腎的主要工具,可檢查腎臟結構是否有囊腫。
基因學篩檢:在育種前特別重要,攜帶多囊腎基因的貓應避免繁殖後代。
血液檢查:腎指數可能偏高,甚至造成離子失衡。
尿液檢查:尿檢可能有蛋白尿或血尿等異常。

治療:
目前沒有根治多囊腎的方法,但可以透過支持治療來改善生活品質及延緩病程:
慢性腎病治療:包含飲食調整、水分補給(避免多尿造成脫水);監控有無高血壓、蛋白尿,若有上述情形應使用藥物控制。
止痛和止吐藥物:主要用於緩解腎病所帶來的不適症狀。
酒精硬化治療(Ethanol sclerotherapy):在超音波影像導引下,將穿刺針放進囊腫內,將囊腫液抽乾,再使用高濃度的酒精破壞囊腫內的細胞,使其壞死不再產生囊腫液。

重點摘要:
若家中的貓咪出現飲水量或排尿量異常增加,活動力下降、食慾減退等異常,請儘速就醫。
購買品種貓咪前確認有無相關家族病史。
7 歲以上熟齡貓咪需定期健康檢查。

超音波影片點擊以下網址
https://www.facebook.com/100064025560025/videos/pcb.1079733607504148/1169736800954705
