腸子被骨頭卡住了!認識狗狗小腸異物

麻古是一隻10歲、已絕育之雌性貴賓犬,主訴為從一周前就精神食慾差、一直連續嘔吐及呈現祈禱資(狗狗腹痛時的表現),當時有在其他醫院就診,基礎血檢除了白血球輕微偏低,其餘數值皆正常,在該院打針、打點滴及吃藥治療後沒有改善,一直到今天甚至開始吐鮮血。狗狗平常會吃人食、牛骨零嘴,沒有定期預防心絲蟲、除蚤。
理學檢查觀察到狗狗前腹腔疼痛,因對症治療已經一周都失敗,與主人討論後,進行影像學檢查及血檢。
血檢結果呈現脫水、電解質異常及胰臟炎指數異常。
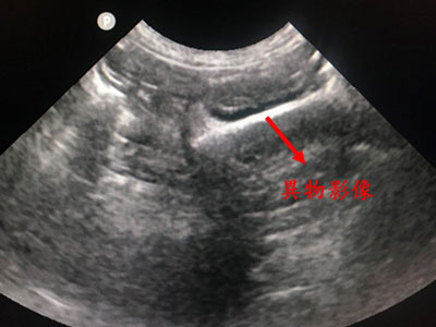
X光及腹腔超音波檢查在小腸段發現了一條高阻塞度的異物影像,疑似為骨頭且尖端銳利。
先以半天住院輸液治療調整電解質及補充脫水、並幫狗狗貼上嗎啡貼片,緩解當下的疼痛及為開刀做術前疼痛管理。而後順利於入院的隔日下午做開腹手術,取出了骨頭。
動物即使已經異物阻塞一周,開腹探查卻不見明顯的腸道穿孔、壞死、甚至感染性腹膜炎的情形,僅有腸道表面輕微的沾黏,真是不幸中的大幸。外科醫師細心地幫動物做腹腔灌洗及處理沾黏,也一併檢查了胰臟,最終順利的完成了手術。
術後持續幫狗狗做好止吐、止痛及水合的監控,也開立了腸胃道保護劑、促進腸道細胞修復的藥物。漸漸地,狗狗的精神及食慾一天比一天更好,也沒有再出現嘔吐的症狀了。狗狗也在術後第三天順利出院回家照顧,回診的傷口檢查及拆線也都非常順利。
提醒各位毛小孩的主人,平時就應該觀察動物是否有異食癖的情況,並留意外出是否有亂撿東西吃,也應該避免餵食任何形式的骨頭、邊緣尖銳且難以消化的食物。


