常見的致命疾病-貓咪腎損傷
貓咪的急性腎損傷Tips:
造成貓咪急性腎損傷的成因有很多,舉凡藥物(止痛消炎退燒藥、某些由腎臟代謝的抗生素、化療藥物)、毒物(抗凍劑、百合(全株,包含百合泡過的水)、殺鼠藥、造影劑、重金屬)、脫水、創傷、麻醉、中暑、敗血症及過度失血、缺氧等。平時必須謹慎避免貓咪接觸人類用藥及化學製品。
患貓可能出現精神食慾差、口腔潰瘍及產生尿毒味、嘔吐及下痢的腸胃道症狀…。若仔細觀察動物的尿量,可能會出現多尿或寡尿,甚至無尿的情形。
本疾病越早期診斷、越早介入治療的成功率會上升;反之,若病程走到已經明顯寡尿、無尿及高血鉀的患貓,預後往往較差。
隨著治療,腎指數的改善情況通常影響著貓咪的預後,而不是一開始診斷時腎指數的高低。

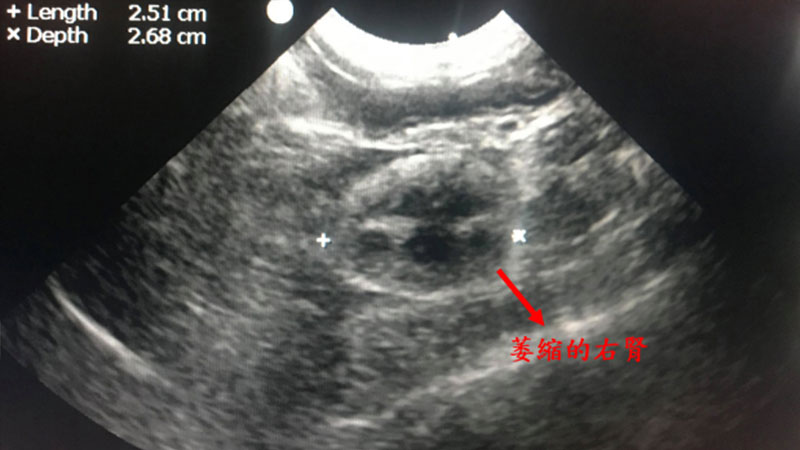
觀觀是一隻十歲齡、已絕育之雄性短毛家貓。就診的四天前在他院檢查出左後肢腫瘤、右腎萎縮,而後進行截肢手術。來本院主訴為術後陸續出現發燒、連續嘔吐、精神食慾下降、癱軟無力之症狀。
理學檢查觀察到貓咪有5-6%脫水、口腔有尿毒味、且黏膜偏蒼白,因此建議做進一步血檢及影像學檢查。
血檢結果呈現貧血(血容比16.3%,正常成年貓咪為25-45%)、腎指數高(血中尿素氮:96,正常貓咪為17-33;肌酸酐:12.44,正常貓咪為0.8-1.8)、高血鉀(血鉀:7,正常貓咪為3.4-4.6)。
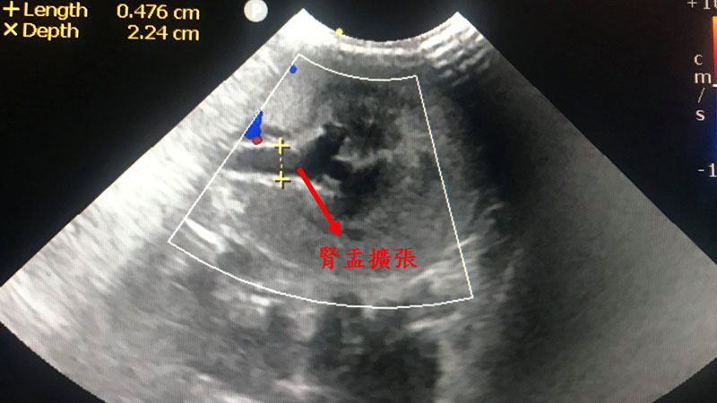
血液抹片呈現不再生性貧血,尿液檢查呈現低比重尿1.007(正常貓咪應在1.030以上),超音波顯示腹腔無明顯出血,但左腎萎縮、右腎輸尿管擴張最終診斷貓咪為急性腎損傷、貧血。


考慮到貓咪可能因急性失血導致虛弱癱軟,在本院立即檢驗血型、做血液配對,並順利在當晚立即輸血,避免動物因氧合不足造成近一步虛弱及腎臟傷害。
後續住院繼續以內科治療,針對貧血、腎損傷、高血磷及高血鉀,給予輸液調控、降鉀降磷的口服藥物及針劑、造血針劑治療,並同時監控血壓、體溫、體重及水分的IN-OUT值。
貓咪起初腎指數仍有輕微上升,且尿液的量不如預期,出現寡尿的情形,但隨著治療進度,慢慢地尿量逐漸變多,血壓及腎指數也漸趨平緩,貓咪的精神、活力也隨之進步。於住院一周後順利出院,因原本就有腎臟萎縮之慢性病史,因此目前仍固定回診,針對慢性腎病治療、監控中。
| # | 血容比 | 血中尿素氮 | 肌酸酐 | 血磷 | 血鉀 |
|---|---|---|---|---|---|
| 6/23剛入院 | 16.3 | 96 | 12.44 | - | 7 |
| 6/24輸血後 | 26.7 | 108.4 | 13.79 | - | 6.7 |
| 6/25 | - | 103.3 | 11.23 | 12.3 | 4.1 |
| 6/26 | 28.1 | 64.2 | 5.66 | - | - |
| 6/27 | - | 35.9 | 3.08 | - | 3.2 |
| 6/28 | 33.2 | 26.5 | 2.88 | - | - |
| 6/29 | - | 23.9 | 1.97 | 4.8 | - |
| 6/30出院前 | - | - | 1.65 | - | - |