胖貓突然不吃飯,小心致命的脂肪肝
阿魯是一隻10歲已經絕育的米克斯公貓,從小就每餐吃光光不挑食,有一點點肥肚。
這一兩周以來,自從主人幫阿魯搬家之後,飼料開始愛吃不吃,也會時不時嘔吐,其中有一次還發現有一灘尿尿顏色很黃。主人覺得很奇怪,帶阿魯來到築心就診。
門診檢查時,獸醫師發現阿魯的精神很差、背上的皮拉不太起來,口水也乾乾的,仔細一看,還發現阿魯的耳殼、眼白、嘴巴黏膜跟肚皮的顏色都是黃色的!
抽血結果,發現黃疸跟肝臟指數都爆表,超音波下排除膽管阻塞的問題後,搭配阿魯的病史,懷疑牠是得了脂肪肝。


常見脂肪肝的成因?
原發在健康貓咪,但突然進食量減少,例如:緊迫(搬家、寄宿、新成員)、換了不愛吃的飼料、主人出遠門食物不夠等等。
繼發在生病貓咪,因疾病導致貓咪厭食,例如:牙周病、胰臟炎、慢性腸炎、糖尿病等等。
為什麼吃不夠的貓咪容易得脂肪肝呢?
貓咪是絕對肉食性動物,身體會不斷的消耗養分以達到代謝需求,當貓咪攝取熱量不足時,就會開始代謝身上的脂肪。而負責代謝脂肪的肝臟此時就會被瞬間湧入的脂肪給佔據,引發急性的肝臟衰竭,嚴重甚至會有死亡的風險。
多久不吃的貓咪會得脂肪肝?
跟攝取熱量的多寡有關,臨床經驗大概一週沒有攝取足量食物的貓就可能發生,越胖的貓發生的速度越快,嚴重程度也可能較嚴重。
得到脂肪肝該怎麼辦?
回到阿魯這個病例,因為脫水嚴重、虛弱、食慾不佳、肝臟指數高,隨即安排住院打點滴、給予預防性抗生素、腸胃道對症藥物、盡快建立餵食計畫。而阿魯在五天後順利回家,之後回診追蹤指數跟症狀都越來越穩定,一個月才終於恢復正常生活,阿魯的媽媽也說,之後再也不敢輕易改變環境、阿魯未來只要食慾一下降就會馬上帶回來醫院,再也不敢讓阿魯餓那麼久了。
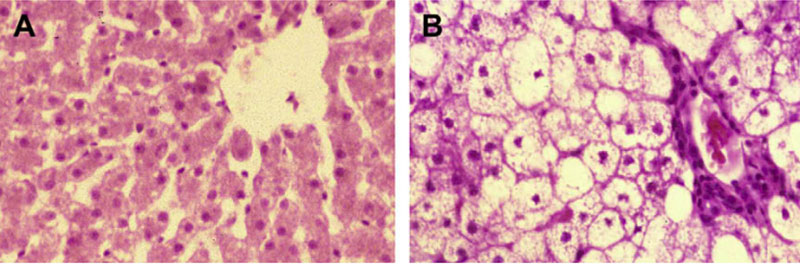
A 正常貓咪的肝臟切片圖
B 食慾下降三週貓咪的肝臟切片圖,可以看到肝臟細胞內充滿白色空泡,被許多脂肪堆積
(圖片取自Armstrong PJ and Blanchard G. Hepatic lipidosis in cats. Vet Clin North Am Small Anim Pract 2009)

脂肪肝的貓咪一般建議放置鼻胃管,貓咪大部分不需要麻醉,能夠讓餵食計畫更順利、大幅減少貓咪被強灌食的緊迫,可以讓主人提早出院回家照顧,顯著減少住院的時間喔!
