狗狗食道異物
球球(化名)是一隻12歲的玩具貴賓犬。某日晚上飯後,不小心快速吞入了作為獎勵的一整塊大型肉塊零食
突然間,球球開始出現不斷乾嘔及流口水的症狀,也陸續嘔吐數次
球球的家人擔心是噎到,於是趕緊在夜間帶來本院做急診檢查
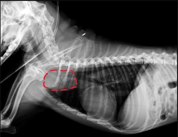
門診X光片的結果,在心臟的頭側、與前縱膈重疊處發現了不透明度上升、且含有不規則空氣線條的異常影像(圖一)
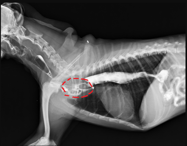
使用造影劑輔助確認下,確認異常影像位於食道,推測是大口吞入的肉塊,造成食道異物阻塞(圖二)
我們立即為球球安排內視鏡探查手術,發現在食道內的大肉塊已經壓迫到周圍組織,造成食道發炎
醫師利用器械謹慎地將其推入胃內,並仔細檢查整段食道的完整性
球球也在本院照護至麻醉清醒後當晚就順利地回家了。
食道異物依據異物的大小、種類及形狀的異同會選擇不同的手術方式
包含內視鏡取出、推入、頸部或胸腔的食道開創
同時,也會因為阻塞的時間長短、對食道的損傷程度引起不同程度的食道壞死、撕裂、吸入性肺炎及缺氧休克等症狀
最後非常感謝球球的家人們對本院的信任,讓我們可以迅速的幫助球球回復健康
預防食道異物阻塞的小訣竅:
突然間,球球開始出現不斷乾嘔及流口水的症狀,也陸續嘔吐數次
球球的家人擔心是噎到,於是趕緊在夜間帶來本院做急診檢查
X光影像結果
圖一
圖二
門診X光片的結果,在心臟的頭側、與前縱膈重疊處發現了不透明度上升、且含有不規則空氣線條的異常影像(圖一)
使用造影劑輔助確認下,確認異常影像位於食道,推測是大口吞入的肉塊,造成食道異物阻塞(圖二)
我們立即為球球安排內視鏡探查手術,發現在食道內的大肉塊已經壓迫到周圍組織,造成食道發炎
醫師利用器械謹慎地將其推入胃內,並仔細檢查整段食道的完整性
球球也在本院照護至麻醉清醒後當晚就順利地回家了。
食道異物依據異物的大小、種類及形狀的異同會選擇不同的手術方式
包含內視鏡取出、推入、頸部或胸腔的食道開創
同時,也會因為阻塞的時間長短、對食道的損傷程度引起不同程度的食道壞死、撕裂、吸入性肺炎及缺氧休克等症狀
最後非常感謝球球的家人們對本院的信任,讓我們可以迅速的幫助球球回復健康
預防食道異物阻塞的小訣竅:
- 盡量避免餵食邊緣尖銳、過大、過硬的食物,如骨頭及某些種類的肉乾、肉塊
- 若狗狗常常狼吞虎嚥的進食,可嘗試慢食碗或少量多餐餵食
- 多狗家庭在餵食時留意狗狗彼此間的距離,避免互相爭搶
- 有異食癖的狗狗,盡量將環境中可能會被吞入的物品清除掉,也可架設攝影機以便回朔