狗狗急性致命的腸胃疾病 胃擴張扭轉 Gastric dilatation-volvulus (GDV) 急診重症外科手術

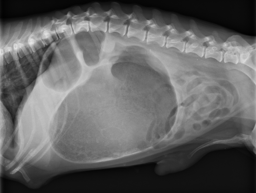
X光下顯示脹大、扭轉的胃

GDV常見的症狀有乾偶、嘔吐、腹脹、焦躁...等等,如果只是當作一般腸胃不適處理會有致命的風險喔

11歲的已絕育臘腸母狗米奇,晚上吃完飯後突乾嘔、喘 、哀嚎、肚子脹大,經影像檢查診斷為胃擴張扭轉 Gastric dilatation-volvulus(GDV) 。



 

術中執行胃固定

GDV如果沒有及時把胃裡面的氣放掉,短時間內會有休克死亡的風險,因此緊急放氣處理後,開腹手術執行胃固定術,術後3-5天內需是高危險期,持續密集監控心跳、呼吸、血壓、血氧、心電圖、體溫..等等重要生理數值。住院三天後順利出院。