貓咪腎臟病 腎臟腫瘤 貓淋巴癌化療
貓咪腎臟病 腎臟腫瘤 貓淋巴癌化療
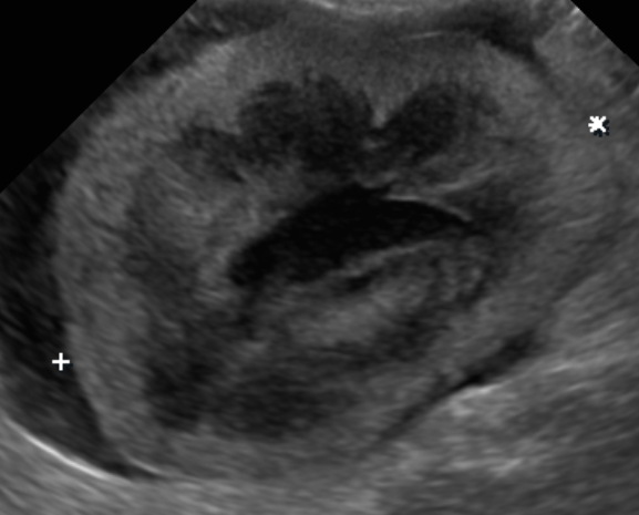
如果驗血發現貓咪腎指數高,請記得要進一步做影像檢查,不然可能會錯過有效治療的時機喔!
4Y米克斯已絕育公貓,因為兩天前突然精神食慾嚴重下降,驗血發現腎指數爆表,影像檢查發現兩顆腎臟腫大,進一步採樣確診為貓的腎臟腫瘤-淋巴癌,後續安排化療計畫。
雖然這類型的惡性腫瘤治癒機率很低,但是化療為有效的治療方式,有機會可以幫助毛小孩回復良好的生活品質。
影像結果
超音波顯示腎臟型態異常
X光顯示雙側腎臟腫大
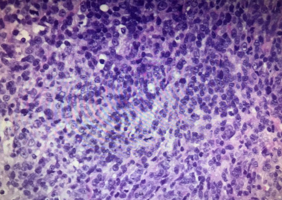
腎臟病理切片下發現淋巴球浸潤