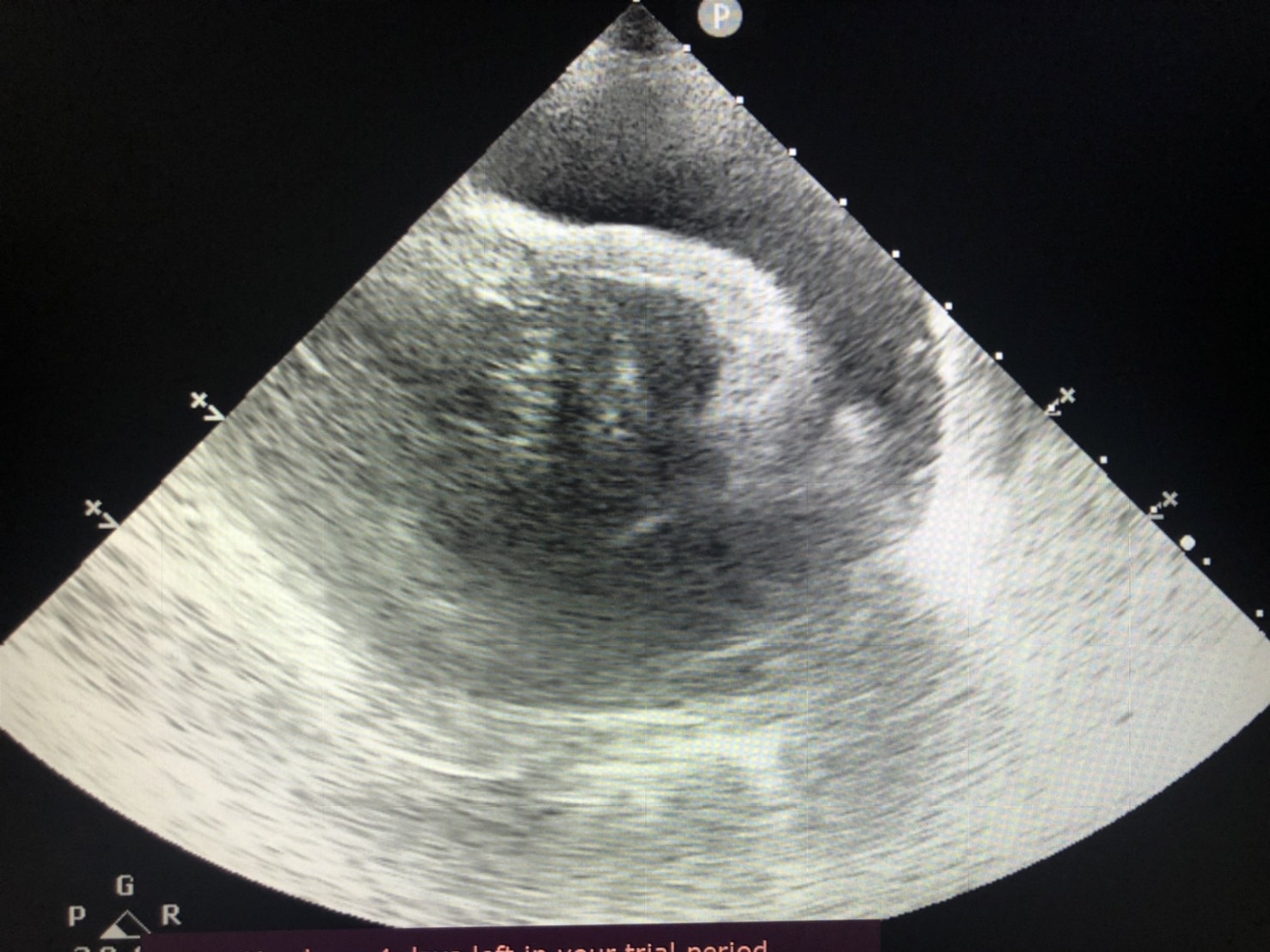
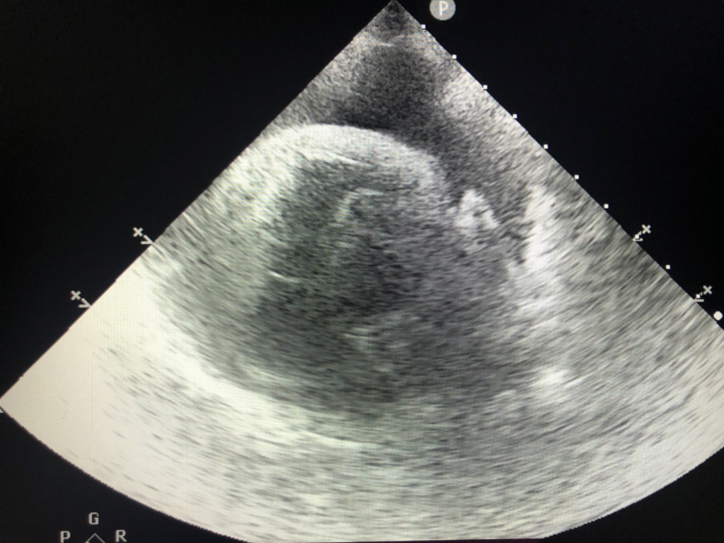
心包囊積液
心包囊積液
心臟的最外層有一層膜樣構造稱為心包膜,
心臟與膜之間會有少量組織液蓄積其中,達到潤滑的作用。
若是因為腫瘤、心臟疾病、發炎或其他狀況導致液體蓄積在心臟跟心包膜之間,
稱之為心包囊積液。
心臟從動物出生一直到死亡的那刻,每分每秒都在活動著,我們把心臟想像成運動員,
心包囊積液像是讓運動員穿著厚厚的大衣,大大的影響了運動員的活動能力。
同樣地,產生心包囊積液時,心臟擴張會受限,無法將身體的血液回收至心房內,
因此通常會伴隨著腹水的產生,當壓迫到左心室造成心臟輸出量降低時,甚至可能低血壓而造成動物休克死亡。
若是已造成心包填塞的情況下,需抽取心包囊積液,緩解心臟因受到壓迫而造成的致命問題。
同時間需進行身體其他檢查如血液學檢查、X光、心臟超音波等……找到產生心包囊積液的原因。
心包囊積液會發生的臨床症狀如下:
虛弱無力、呼吸急促、腹圍膨大、黏膜蒼白
*狗狗產生心包囊積液的原因大多為腫瘤
*貓咪產生心包囊積液的原因大多為心臟問題
*還有一種是不明原因所產生心包囊積液,需排除掉所有可能性才能診斷為不明原因性
*若是心包囊產生速度快速,則需進行心包切開術,避免反覆的心包囊積液發生。
心臟的最外層有一層膜樣構造稱為心包膜,
心臟與膜之間會有少量組織液蓄積其中,達到潤滑的作用。
若是因為腫瘤、心臟疾病、發炎或其他狀況導致液體蓄積在心臟跟心包膜之間,
稱之為心包囊積液。
心臟從動物出生一直到死亡的那刻,每分每秒都在活動著,我們把心臟想像成運動員,
心包囊積液像是讓運動員穿著厚厚的大衣,大大的影響了運動員的活動能力。
同樣地,產生心包囊積液時,心臟擴張會受限,無法將身體的血液回收至心房內,
因此通常會伴隨著腹水的產生,當壓迫到左心室造成心臟輸出量降低時,甚至可能低血壓而造成動物休克死亡。
若是已造成心包填塞的情況下,需抽取心包囊積液,緩解心臟因受到壓迫而造成的致命問題。
同時間需進行身體其他檢查如血液學檢查、X光、心臟超音波等……找到產生心包囊積液的原因。
心包囊積液會發生的臨床症狀如下:
虛弱無力、呼吸急促、腹圍膨大、黏膜蒼白
*狗狗產生心包囊積液的原因大多為腫瘤
*貓咪產生心包囊積液的原因大多為心臟問題
*還有一種是不明原因所產生心包囊積液,需排除掉所有可能性才能診斷為不明原因性
*若是心包囊產生速度快速,則需進行心包切開術,避免反覆的心包囊積液發生。