心臟科
心臟科
專業貓狗心臟科|高階超音波,給予全方位心臟檢查
高階超音波,準確診斷心臟疾病
心臟疾病的危險與恐怖,來自於常常讓看起來健康的毛小孩短時間內發病死亡,讓家人們難過不已,久久無法面對眼前的事實。許多人反應毛小孩前幾天還好好的,怎麼發生的如此突然,這就是心臟疾病的可怕與殘酷。我們明白貓/狗心臟病的嚴重性,也不願毛小孩突然的離世,造成家人心中的錯愕與遺憾,築心動物醫院心臟科門診由經驗豐富的醫師組成,在狗/貓心臟病臨床療程中,充分展現專業醫術,從聽診、過去病史、理學檢查到心電圖、X光,以及築心引進的高階心臟超音波掃描,一步步抽絲剝繭獲得正確的診斷。築心陪您一同面對毛小孩的狀況,給予合適的建議與療程,我們相信唯有正確、精準的診斷,才能獲得合適正確的治療,也才能守護毛小孩的身體健康。
◎本院使用心臟專科等級【CX-50菲力浦高階彩色都普勒心臟用超音波】可以精準診斷您家毛小孩狗/貓心臟病問題!
◎尤其是貓心臟病,一般超音波設備較不易於早期診斷,使用CX-50便沒有這個問題,可以更精準、有效率發現,及時掌握病情、有效治療。
擴張性心肌病,肺積水導致呼吸困難
肺積水導致呼吸困難的四歲貓-咪咪,在築心緊急給氧氣治療及利尿後終於脫離危險,而進一步進行超音波掃描,診斷為擴張性心肌病,詳細詢問主人生活情況後發現有長期吃狗飼料的問題,提醒毛爸毛媽,貓咪相對狗狗需要較多的脂質和蛋白質,狗狗飼料無法給予貓咪足夠的營養,長期下來可能會造成眼睛失明、耳聾或心臟病等疾病問題。然而這種情況下所引起的心臟病,是有機會痊癒的!所以建議有任何心臟疾病問題的毛小孩,一定要由專業的醫師及專門的心臟超音波設備來檢查、確診,才可以更加了解毛小孩的身體狀況而對症下藥喔!
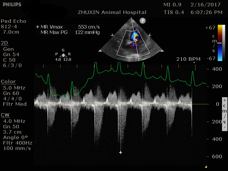
肥厚性心肌病導致血栓產生
有天主人帶著一隻美國短毛貓來診間,主人形容貓咪右後肢無法行走,後肢只能用拖行前進,經理學檢查後,我們懷疑為血栓造成,進一步用心臟超音波檢查、確診為「肥厚性心肌病」導致血栓產生,因為這樣的診斷,醫師團隊更能針對症狀給予正確的治療方式,而後貓咪也有所改善。
精確的診斷才有辦法良好控制疾病、保持生活品質、延長壽命喔!
肺積水導致呼吸困難
肺積水導致呼吸困難的四歲貓咪--咪,緊急給氧及利尿後脫離危險,經超音波掃描診斷為擴張性心肌病,詳細詢問生活情況後發現為長期吃狗飼料所引起的心臟問題,這樣的心臟病是有機會痊癒的喔!!!!!
所以建議有心臟問題的毛小孩一定要由專業的醫師及專門的心臟超音波設備來檢查、確診及治療喔!!
肺積水的胸腔X光

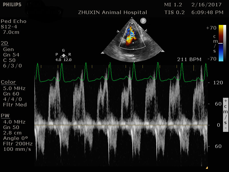
擴張性心肌病的超音波影像

肥厚性心肌病導致血栓產生
美短右後肢突然疼痛拖行的貓咪經理學檢查懷疑為血栓造成,心臟超音波確診為肥厚性心肌病導致血栓產生,精確的診斷才有辦法良好控制疾病、保持生活品質、延長壽命。

狗狗心臟有雜音怎麼辦?
經由聽診發現狗狗有心雜音後,需要了解的是:
- 產生心雜音的原因
- 心臟病的嚴重程度
- 是否需要治療或是在觀察即可
目前臨床較能回答上述疑問的檢查工具即為心臟超音波。
但並不是聽診到心雜音就須立即做心臟超音波檢查,要先由專業的獸醫師做初步的理學檢查評估才行喔!



貓咪可怕的隱藏版疾病-心肌病
貓咪的心臟病早期不容易發現,半夜急診容易遇到突然發病的貓咪,病情之快讓主人們常常措手不急。常常就診已經沒有心跳、回天乏術。
一歲齡的貓咪小白,深夜就診已經呼吸困難一陣子,離休克就那麼一步之差。這時如果貿然做太多事情反而會讓貓咪過於緊迫而更易於走向休克、死亡。
經由急診醫師豐富的經驗,循序漸進的治療、觀察、檢查,好不容易讓白白從張口呼吸的死亡邊緣,到能順利趴下休息,三天後順利出院。
年輕的貓咪也會有心臟病?!
是的,但是大部分都是好發在中年貓咪。
平常都好好的也有定期打預防針、給醫師檢查也沒辦法發現嗎?
貓咪的心臟病並不像狗狗那麼容易用聽診的方式發現,心臟超音波才是早期發現心臟病的檢查方式。
有心臟病的喵喵會出現甚麼臨床症狀呢?
- 呼吸變快、呼吸困難。
- 精神食慾下降。
- 跛行、某一隻腳不能動,並且伴隨疼痛。
- 突然無預警的猝死。
- 暈厥、虛弱。

狗貓心臟病 心絲蟲感染 心臟外科手術 心絲蟲夾蟲手術
狗狗感染心絲蟲,真的只要打針吃藥就好了嗎?11Y臘腸就診前精神食慾下降、血尿、出現溶血症狀,檢查發現右心房擠滿心絲蟲,經由本院心臟科醫師評估,傳統打針吃藥讓蟲死在身體裡極有可能惡化症狀加速死亡。
本院選擇用外科方式夾出12隻心絲蟲,逆轉心絲蟲對心臟的負擔,狗狗住院兩天後恢復體力出院囉。
心臟科醫師
蔡逸政醫師 陳利嘉醫師 林倡弘醫師
外科團隊
邱培純醫師 蔡維中醫師 李巧茹醫師 陳彥廷醫師 蔡欣如醫師
以下為本院病例分享
夾蟲手術過程

12隻心絲蟲
.jpg)
術後復原良好
淺談貓心臟超音波快速掃描(QUICK SCAN) 的意義 貓咪心臟病 貓心臟超音波檢查
由於貓咪非常善於隱藏疾病症狀,且部分貓咪的心臟病難以透過基本理學檢查就看出端倪。貓咪很常在經歷緊迫後突然發病,比如說麻醉、鎮靜、洗澡、外出住宿、住院…..等等。一旦心臟病發作,短時間內就有死亡的高風險。
因此本院都會建議需要進行麻醉手術或是住院治療的貓咪進行心臟超音波檢查,但是完整的心臟超音波檢查費用較高,如果只是要評估當下有無心衰竭風險的話,快速掃描就可以派上用場了。
目前本院比較常使用貓心臟快速掃描的時機:
1. 麻醉/鎮靜前
2. 住院治療前
3. 疑似心臟病的症狀需要初步確診/排除
4. 需要檢查心臟但病情不穩定,不適合保定時間過長
以下病例為10歲已絕育米克斯公貓,主人希望安排麻醉洗牙,術前健康檢查中發現貓咪已有嚴重心臟病,但主人平常並沒有發現任何異常。
及時發現心臟病,重新評估手術的必要性,調整麻醉及術後照護計畫可以避免事後的遺憾!
心臟快速掃描結果
嚴重的左心房擴張
左心室壁明顯肥厚
你可能會想問......
1. 年輕的貓咪也會有心臟病?
是的,雖然大部分都是好發在中老年貓咪,但是任何年紀的貓咪都可能出現早發的心臟病變。
2. 平常都好好的也有定期打預防針、給醫師檢查也沒辦法發現嗎?
貓咪非常善於隱藏疾病症狀,且貓咪的心臟病在初期也非常難以透過基本理學檢查就能夠監測出。
3. 有心臟病的貓咪會出現甚麼臨床症狀呢?
- 呼吸變快(正常居家休息速率約30-40下每分鐘)、呼吸困難
- 精神食慾下降
- 跛行、某一隻腳或雙腳突然癱瘓無法站立,並且伴隨疼痛哀嚎
- 突然無預警的猝死
- 暈厥、虛弱
狗狗心絲蟲症外科治療 夾蟲手術狗狗心臟病
狗狗的心絲蟲感染 打針吃藥真的是最好的方式嗎? 有時候會遇到驗血發現狗狗罹患心絲蟲的主人,希望不要更進一步檢查,直接安排吃藥打針或是不治療直接投予預防藥,但這其實是非常危險的!
如果狗狗今天右心房右心室已經塞滿心絲蟲了,或是已經進入腔靜脈症候群的階段,傳統打針/吃藥/只投與預防藥的方式有非常高的機率會失敗導致死亡,或是大量的蟲死掉後身體惡化造成肺栓塞、肺高壓、肺炎、不可逆的右心衰竭,進而需要長期吃心臟病藥控制。
遇到像這類的病患,夾蟲手術的優點在於快速有效減少心絲蟲對心臟的負擔,以及減少內科治療後蟲體死亡產生的後遺症。
心絲蟲外科夾蟲手術也有麻醉風險,不是每個病患都適合執行喔!
以下為本院病例分享
夾蟲手術過程
影片為實際將蟲夾出的過程,血腥慎入!!
心絲蟲實際照片
術前胸腔X光:心臟肥大,腹部有嚴重腹水
術前超音波:在右心房及右心室看到許多等號樣(=)的心絲蟲體
術後復原良好
貓咪的心臟病
一歲齡的貓咪小白,深夜來到築心急診之前,已經在家呼吸急促了一陣子
根據急診醫師的經驗,貓咪呼吸急促是非常嚴重、隨時會有生命無險的緊急狀況
然而,在此時若貿然做過多治療反而會造成貓咪緊迫,更容易增加突然休克倒下的風險
透過緊急聽診、放入低緊迫的高濃度氧氣室、以及後續的問診,初步懷疑是急性心臟衰竭引發的肺水腫
而後透過循序漸進的治療及監控,好不容易讓小白從呼吸緊迫的死亡邊緣,到逐漸能順利趴下休息、吃飯、撒嬌,三天後順利出院
你可能會想問......
1. 年輕的貓咪也會有心臟病?
是的,雖然大部分都是好發在中老年貓咪,但是任何年紀的貓咪都可能出現早發的心臟病變。
2. 平常都好好的也有定期打預防針、給醫師檢查也沒辦法發現嗎?
貓咪非常善於隱藏疾病症狀,且貓咪的心臟病在初期也非常難以透過基本理學檢查就能夠監測出。
3. 有心臟病的貓咪會出現甚麼臨床症狀呢?
- 呼吸變快(正常居家休息速率約30-40下每分鐘)、呼吸困難
- 精神食慾下降
- 跛行、某一隻腳或雙腳突然癱瘓無法站立,並且伴隨疼痛哀嚎
- 突然無預警的猝死
- 暈厥、虛弱
