貓咪專屬的安心醫療空間
貓咪專屬醫療環境
醫院對於大多數的貓咪來說是一個可怕的場所,因為抵達醫院前,
牠們大都要被放進一個密閉小空間,搖搖晃晃地到一個有很複雜的氣味的地方
,牠們對於醫院的恐懼恐怕不輸小朋友到牙醫診所,生氣、緊張、逃跑都是可預期的反應。
我們理解並體諒貓咪纖弱又害怕受傷害的心靈,自創院之初就領先同業,設立獨立的貓咪專屬候診區
、診療空間以及住院空間。築心的貓醫療空間全面使用費洛貓 (FELIWAY),它含有仿天然貓科臉部費洛蒙成份,
能舒緩貓咪初到陌生環境時所產生之緊迫,幫助減緩貓咪就診時的壓力反應,紓解貓咪緊張情緒。
希望所有來到築心的貓咪都可以很放鬆地接受診療,不用在生病不舒服的同時還要擔心受怕。
專業貓科診療
貓咪是天生的戲精
喵星人是食物鏈頂端的狩獵者,如此傲驕的生物可拉不下臉來哭哭啼啼地說自己不舒服。
貓奴們很常等到貓咪已經相當虛弱不願進食,才為時已晚地發現狀況不對勁,往往錯失治療良機。
因此需要貓奴與專業獸醫師攜手合作,儘早發現貓咪不舒服的蛛絲馬跡,才能確保貓主子的健康長壽
千萬別把貓咪當成小狗!
貓咪之所以被稱為喵星人,就是因為他們的與眾不同。- 貓咪是絕對肉食動物,除了營養需求完全不同,飲水的習性也大不相同。
- 不愛喝水是貓咪的天性,野外貓咪的水份來源主要是獵物的血液,沒有狩獵需求的家貓卻因此容易發生水份攝取不足的各種問題。
- 貓咪天性容易緊張,容易因為情緒而引發生理上的變化,造成常見的下泌尿道症候群。
- 倘若長時間因為緊張不吃飯,還可能引發致命的脂肪肝,不可不慎!
專業貓科獸醫師 「在醫療上,沒有要貓配合我們的道理,只能我們去配合貓」。築心的獸醫師都是喵星球認證的貓奴,
熟知貓咪千奇百怪的習性,願意花許多時間安撫貓咪,讓貓咪安心地接受我們檢查。Happy cat, happy vet,只有貓咪願意配合的時候,才能夠作出正確的診斷;
也只有貓咪願意配合,才能夠達到最大的治療效果。讓我們和您一起努力,維護喵星人的健康。
愛滋病 口炎 免疫抑制 骨髓抑制 呼吸道感染
化名大賓是一隻4歲年輕公貓,主人大約從2歲開始飼養,近期因會去撥嘴巴、食慾不佳、頻繁打噴嚏前來就診。診間檢查發現動物鼻音嚴重,時不時會打噴嚏,鼻水掛在雙鼻孔外,呈現黃綠色黏稠狀。
搬開口腔後發現全口牙齦潮紅,後口腔靠近扁桃腺位置紅腫,動物觸碰嘴巴明顯不適,且伴隨流口水臨床症狀。
與主人討論基本血液學檢查和影像檢查,紅白血球、生化檢查與胸腔X光無明顯異狀,但動物的傳染病快塞卻顯示愛滋陽性,
與主人討論病情後,決定安排進一步住院,等到呼吸道症狀較穩定時,希望安排後續外科手術評估牙周治療
,後續住院一週後大賓呼吸道症狀明顯改善,無明顯打噴嚏以及流鼻水,食慾雖有改善,但還是有流口水以及口腔疼痛症狀,
後續與主人討論後,決定評估全口拔牙處理口腔嚴重發炎問題,術後一週大賓食慾漸漸恢復,並恢復原本愛吃的模樣。
愛滋病好發在流浪動物,尤其是未結紮的公貓,常因為打架產生傷口,而傷口藉由接觸到愛滋病動物的血液、唾液、尿液而感染。
大部分常見症狀為免疫抑制寄發二次性細菌感染、骨髓抑制造成非再生性貧血、口炎、器官淋巴瘤、葡萄膜炎、神經症狀
並不是每隻動物都會發病,或者像是本病例動物,懷疑為愛滋疾病造成口腔發炎,但藉由手術還是能夠有良好的生活品質。
研究顯示愛滋病貓與一般動物平均存活時間並沒有顯著差異,環境建議單貓飼養,減少環境緊迫(搬家或施工),不要跟其他貓咪打架喔
白血病 骨髓抑制 不再生性貧血 原發性淋巴瘤
化名小花是一隻年輕的母貓,剛從收容所被主人領養而帶來築心動物醫院檢查,主人表示動物虛弱沒有力氣,果然理學檢查發現動物血色蒼白,另外口腔牙齦嚴重發炎,靠近喉頭位置扁桃腺又紅又腫。
醫師透過血液檢查,發現小花有嚴重貧血,另外白血球跟血小板都偏低,正常紅血球比例(PCV)貓落在25-45%,
小花卻只有11%,而正常貓咪低於15%就屬於嚴重貧血需要輸血治療。
腹腔超音波發現雙腎不規則腫大,其餘臟器正常,胸腔X光無明顯異常,但傳染病快塞顯示小花為白血陽性。
主人決定輸血治療,並於動物狀況穩定下後續安排腹腔內視鏡腎臟採樣並送病理切片,
病理切片診斷結果為貓淋巴瘤,可惜後續小花二次貧血且伴隨急性腎衰竭,最後主人決定帶回家安寧。
貓白血病為流浪動物常見的傳染性疾病,不需要靠傷口,只要接觸到感染者的唾液、尿液、呼吸道分泌物、糞便或乳汁即可感染,
白血病發病時常見臨床症狀為原發性淋巴瘤、貧血(非再生性)、骨髓抑制(全血球減少症)、口炎、繼發性上呼吸道感染。
白血病一旦發病大多預後不佳,尚未發病的白血貓貓我們可以做什麼事情呢?建議有白血疾病的貓隻單獨飼養,減少緊迫,
另外每半年的健康檢查也是需要的,而剛飼養的貓咪一定要跟家中貓咪做好嚴格隔離動作,
主要是因為白血病的快塞檢測需要接觸到病原後的一個月才可能被檢測出,
而環境複雜會接觸到很多流浪動物的貓隻建議施打含白血病的疫苗(無佐劑),而施打前一定要記得先驗傳染病快塞喔。
遠離巧拼! 認識貓的小腸異物
貓咪Momo有亂吃巧拼的壞習慣,某天開始,一喝水吃飯就吐,完全沒辦法進食
已經持續好幾天,去附近醫院打針吃藥也未見改善
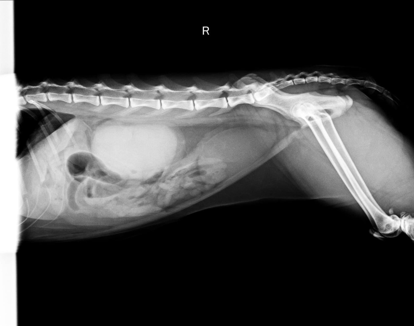
就診時發現牠嚴重脫水且腎指數高,檢查發現X光下明顯小腸擴張,大於正常的兩倍
超音波檢查時掃到某段小腸,Momo會有明顯疼痛反應,同時發現該處腸道影像有腸道擴張以及高回音性的物質
綜合病史及影像結果推測為小腸異物
但因為脫水太嚴重,先住院將Momo補充完脫水後,於隔日安排開腹探查手術
術中發現小腸廣泛性擴張、發炎、同時胰臟也有發炎,並找到巧拼異物阻塞於空腸處
拿出異物後,Momo漸漸恢復精神食慾,並且順利在術後四天順利出院囉!
手術
過程
腸道內造成阻塞的巧拼
取出的巧拼
可怕的先天性腎臟病-貓的多囊腎
歐雷是一隻六歲已絕育的雄性短毛家貓。歐雷的媽媽觀察到牠已經兩天沒有吃飯,精神也變差,並觀察到有歪頭、低頭的情形,也發現歐雷的肋骨越來越明顯似乎快速地在變瘦。


歐雷在診間一直呈現低頭狀態,經過完整的神經學檢查卻沒有發現明顯的異常及痛點,理學檢查也不見明顯病因,
在與主人溝通後,決定幫歐雷做系統性疾病的檢查,包括血檢、X光、心臟檢查及超音波。
超音波檢查結果發現,歐雷罹患了一種先天性疾病—多囊腎 (Polycystic kidney disease)。
多囊腎是一種常見於波斯貓品系的遺傳性疾病,此病的進程與一般貓咪的慢性腎病相似,會隨著囊泡壓迫腎臟的嚴重程度,使得腎臟功能一點一滴的流失。


歐雷的血檢發現腎臟指數過高 (血中尿素氮:76.8,正常貓咪為17-33;肌酸酐:6.07,正常貓咪為0.8-1.8)、血鉀數值嚴重低下 (血鉀:2.6,正常貓咪為3.4-4.6),
當慢性腎病造成尿濃縮能力下降、尿液量增多時,就會造成鉀離子的流失,而嚴重的低血鉀也會導致神經肌肉傳導的障礙,如肌肉無力、頸部下垂、胃腸蠕動能力下降及心律不整。
住院期間,透過輸液逐步補充脫水及補充血鉀,同時密集監控排尿量、呼吸次數、進食熱量以及頸部肌肉回復狀況。
住院的三天內,歐雷的腎指數穩定下降,精神跟食慾也逐漸改善。三天後順利出院,目前定期回診追蹤腎病狀況。
低血鉀的成因除了腎臟疾病外,還包含了過度嘔吐、下痢、糖尿病酮酸血症、高甲狀腺功能症、慢性肝臟疾病及阻塞後利尿。
因此,垂頭症狀除了需要考慮局部神經、肌肉、骨骼的異常外,全身系統性疾病也是很重要的原發病因。
胖貓突然不吃飯,小心致命的脂肪肝
阿魯是一隻10歲已經絕育的米克斯公貓,從小就每餐吃光光不挑食,有一點點肥肚。
這一兩周以來,自從主人幫阿魯搬家之後,飼料開始愛吃不吃,也會時不時嘔吐,
其中有一次還發現有一灘尿尿顏色很黃。主人覺得很奇怪,帶阿魯來到築心就診。
門診檢查時,獸醫師發現阿魯的精神很差、背上的皮拉不太起來,口水也乾乾的,仔細一看
還發現阿魯的耳殼、眼白、嘴巴黏膜跟肚皮的顏色都是黃色的!
抽血結果,發現黃疸跟肝臟指數都爆表,超音波下排除膽管阻塞的問題後,搭配阿魯的病史,懷疑牠是得了脂肪肝。


常見脂肪肝的成因?
原發在健康貓咪,但突然進食量減少,例如:緊迫(搬家、寄宿、新成員)、換了不愛吃的飼料、主人出遠門食物不夠等等。
繼發在生病貓咪,因疾病導致貓咪厭食,例如:牙周病、胰臟炎、慢性腸炎、糖尿病等等。
為什麼吃不夠的貓咪容易得脂肪肝呢?
貓咪是絕對肉食性動物,身體會不斷的消耗養分以達到代謝需求,當貓咪攝取熱量不足時,就會開始代謝身上的脂肪。
而負責代謝脂肪的肝臟此時就會被瞬間湧入的脂肪給佔據,引發急性的肝臟衰竭,嚴重甚至會有死亡的風險。
多久不吃的貓咪會得脂肪肝?
跟攝取熱量的多寡有關,臨床經驗大概一週沒有攝取足量食物的貓就可能發生,越胖的貓發生的速度越快,嚴重程度也可能較嚴重。
得到脂肪肝該怎麼辦?
回到阿魯這個病例,因為脫水嚴重、虛弱、食慾不佳、肝臟指數高,隨即安排住院打點滴、給予預防性抗生素、腸胃道對症藥物、盡快建立餵食計畫。
而阿魯在五天後順利回家,之後回診追蹤指數跟症狀都越來越穩定,一個月才終於恢復正常生活,阿魯的媽媽也說,
之後再也不敢輕易改變環境、阿魯未來只要食慾一下降就會馬上帶回來醫院,再也不敢讓阿魯餓那麼久了。
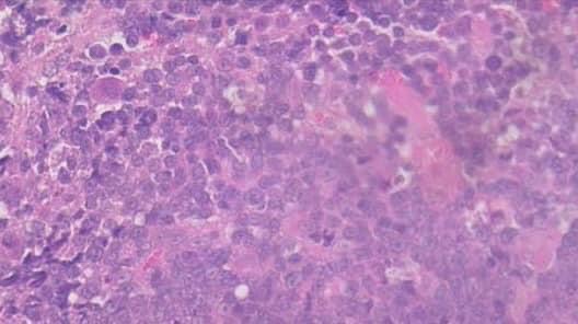
A 正常貓咪的肝臟切片圖
B 食慾下降三週貓咪的肝臟切片圖,可以看到肝臟細胞內充滿白色空泡,被許多脂肪堆積
(圖片取自Armstrong PJ and Blanchard G. Hepatic lipidosis in cats. Vet Clin North Am Small Anim Pract 2009)

脂肪肝的貓咪一般建議放置鼻胃管,貓咪大部分不需要麻醉,能夠讓餵食計畫更順利、大幅減少貓咪被強灌食的緊迫,可以讓主人提早出院回家照顧,顯著減少住院的時間喔!
常見的致命疾病-貓咪腎損傷
貓咪的急性腎損傷Tips:
造成貓咪急性腎損傷的成因有很多,舉凡藥物(止痛消炎退燒藥、某些由腎臟代謝的抗生素、化療藥物)、
毒物(抗凍劑、百合(全株,包含百合泡過的水)、殺鼠藥、造影劑、重金屬)、脫水、創傷、麻醉、中暑、敗血症及過度失血、缺氧等。
平時必須謹慎避免貓咪接觸人類用藥及化學製品。
患貓可能出現精神食慾差、口腔潰瘍及產生尿毒味、嘔吐及下痢的腸胃道症狀…。
若仔細觀察動物的尿量,可能會出現多尿或寡尿,甚至無尿的情形。
本疾病越早期診斷、越早介入治療的成功率會上升;反之,若病程走到已經明顯寡尿、無尿及高血鉀的患貓,預後往往較差。
隨著治療,腎指數的改善情況通常影響著貓咪的預後,而不是一開始診斷時腎指數的高低。

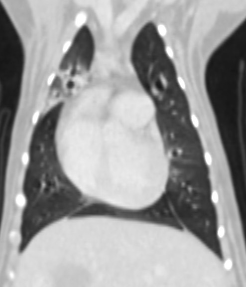
觀觀是一隻十歲齡、已絕育之雄性短毛家貓。就診的四天前在他院檢查出左後肢腫瘤、右腎萎縮,而後進行截肢手術。來本院主訴為術後陸續出現發燒、連續嘔吐、精神食慾下降、癱軟無力之症狀。
理學檢查觀察到貓咪有5-6%脫水、口腔有尿毒味、且黏膜偏蒼白,因此建議做進一步血檢及影像學檢查。
血檢結果呈現貧血(血容比16.3%,正常成年貓咪為25-45%)、腎指數高(血中尿素氮:96,正常貓咪為17-33;肌酸酐:12.44,正常貓咪為0.8-1.8)、高血鉀(血鉀:7,正常貓咪為3.4-4.6)。
血液抹片呈現不再生性貧血,尿液檢查呈現低比重尿1.007(正常貓咪應在1.030以上),超音波顯示腹腔無明顯出血,但左腎萎縮、右腎輸尿管擴張最終診斷貓咪為急性腎損傷、貧血。


考慮到貓咪可能因急性失血導致虛弱癱軟,在本院立即檢驗血型、做血液配對,並順利在當晚立即輸血,避免動物因氧合不足造成近一步虛弱及腎臟傷害。
後續住院繼續以內科治療,針對貧血、腎損傷、高血磷及高血鉀,給予輸液調控、降鉀降磷的口服藥物及針劑、造血針劑治療,並同時監控血壓、體溫、體重及水分的IN-OUT值。
貓咪起初腎指數仍有輕微上升,且尿液的量不如預期,出現寡尿的情形,但隨著治療進度,慢慢地尿量逐漸變多,血壓及腎指數也漸趨平緩,貓咪的精神、活力也隨之進步。
於住院一周後順利出院,因原本就有腎臟萎縮之慢性病史,因此目前仍固定回診,針對慢性腎病治療、監控中。
| # | 血容比 | 血中尿素氮 | 肌酸酐 | 血磷 | 血鉀 |
|---|---|---|---|---|---|
| 6/23剛入院 | 16.3 | 96 | 12.44 | - | 7 |
| 6/24輸血後 | 26.7 | 108.4 | 13.79 | - | 6.7 |
| 6/25 | - | 103.3 | 11.23 | 12.3 | 4.1 |
| 6/26 | 28.1 | 64.2 | 5.66 | - | - |
| 6/27 | - | 35.9 | 3.08 | - | 3.2 |
| 6/28 | 33.2 | 26.5 | 2.88 | - | - |
| 6/29 | - | 23.9 | 1.97 | 4.8 | - |
| 6/30出院前 | - | - | 1.65 | - | - |
貓白血病及淋巴瘤
小花(化名)是一隻年輕的母貓,剛從收容所被領養而帶來醫院檢查,主人表示小花虛弱沒有力氣,於是醫師幫小花做了理學檢查、影像檢查及血液檢查。理學檢查發現小花血色蒼白,口腔牙齦嚴重發炎,靠近喉頭位置扁桃腺又紅又腫,腹腔超音波及腹腔x光影像皆發現雙腎不規則腫大。
血液檢查還發現小花白血球跟血小板都偏低,且有嚴重貧血(正常貓咪血容比落在25-45%,低於15%需要輸血治療)小花卻只有11%,且傳染病快篩顯示小花為白血陽性。
主人決定輸血治療,並於動物狀況穩定下,後續安排腹腔內視鏡腎臟採樣並送病理切片。
病理切片診斷結果為貓淋巴瘤,可惜後續小花二次貧血且伴隨急性腎衰竭,最後主人決定帶回家安寧。
《關於貓白血病》
貓白血病為流浪動物常見的傳染性疾病,不需要靠傷口,只要接觸到感染者的唾液、尿液、呼吸道分泌物、糞便或乳汁即可感染。
白血病發病時常見臨床症狀為原發性淋巴瘤、貧血(非再生性)、骨髓抑制(全血球減少症)、口炎、繼發性上呼吸道感染,一旦發病大多預後不佳。
尚未發病的白血貓貓我們可以做什麼事情呢?
建議有白血病的貓隻單獨飼養,減少緊迫,另外每半年的健康檢查也是需要的。
剛飼養的貓咪一定要跟家中貓咪嚴格隔離,主要是因為白血病的快篩檢測,需要接觸到病原後的一個月才可能被檢測出。
而多貓家庭及可能會接觸到流浪動物的貓隻,建議施打含白血病的疫苗(無佐劑),施打前一定要記得先驗傳染病快篩喔。
貓愛滋.口炎
大賓(化名)是一隻4歲年輕公貓,主人大約從2歲開始飼養,近期因會去撥嘴巴、食慾不佳、頻繁打噴嚏前來就診。經檢查發現大賓鼻音嚴重,時不時會打噴嚏,鼻水呈現黃綠色黏稠狀,扳開口腔後發現全口牙齦潮紅,
後口腔靠近扁桃腺位置紅腫,觸碰嘴巴明顯不適,且伴隨流口水等臨床症狀。
幫大賓做基礎血液學檢查和影像檢查,紅白血球、生化檢查與胸腔X光無明顯異狀,但傳染病快篩顯示愛滋陽性。
主人決定讓大賓住院,等到呼吸道症狀較穩定時,再安排後續外科手術評估牙周治療。
第一次養貓的拔拔麻麻
第一次養貓的把拔麻麻帶棉花糖來打第一劑預防針(三合一疫苗)
希望棉花糖幸福健康的長大唷
貓咪桂圓驚魂記-急性腎損傷
就診前4天因為精神、食慾下降、嘔吐多日,在他院被診斷腎臟病。因為在他院的血檢腎指數正在惡化中,他院醫生跟主人討論到洗腎透析的必要性。
經轉院來築心住院,經過治療後,計算尿量以及追蹤住院期間腎指數皆有明顯改善,住院三天後順利回復活力。
後續追蹤腎指數也回復正常了,回診也越來越活(ㄊ一ㄠˊ)潑(ㄆ一ˊ)喔
肥厚性心肌病 心衰竭肺積水
在進一步檢查診斷為肥厚性心肌病第三期,是需要藥物介入延緩疾病惡化的階段。
在發現7寶呼吸速度稍快時就緊覺地提早回診,讓醫師可以及時調整藥物,避免狀況惡化成心衰竭到需要住院的程度。
貓咪的原發性肥厚性心肌病是需要內科治療的慢性病,只能長期服藥以延緩疾病惡化,維持貓咪的生活品質。
本院獲得國際貓科醫學會(ISFM)認證貓友善動物醫院
本院獲得國際貓科醫學會(ISFM)認證貓友善動物醫院
獻給:一想到帶貓咪出門就頭痛緊張的貓奴們
就診前提供電話諮詢,協助緊張貓咪與飼主出發前的充足準備
- 獨立密閉的貓咪候診區及貓咪診間,皆提供毛巾及費洛貓噴霧
- 獨立貓咪專屬住院病房,隔絕會讓貓咪緊張的狗狗氣味及吠叫,籠內放置睡墊及躲藏小窩
- 提供全套血檢、X光、腹腔及心臟超音波檢查,另有貓咪較需要的SDMA腎功能早期檢測、NT-proBNP心臟快篩
- 一般內外科門診外也提供中獸醫針灸、高壓氧治療,給貓主子們更多治療選擇
- 除了一般外科之外,也提供微創及無創手術減少手術引起的疼痛,改善生活品質及加速復原
- 提供貓咪出診服務 (但需要事前先來電與醫師討論是否適合哦)
- 持續院內教育貓友善原則,盡可能提供貓主子們最舒適的操作保定






尿道造口
貓咪下泌尿道症候群為一些發炎物質或是結晶結石造成排尿困難,
臨床症狀包含血尿、頻尿,甚至排尿時尖叫哀號。
而公貓因為尿道結構和母貓相比較為狹窄,尿道阻塞的機率高出許多,當完全阻塞時,
若沒及時處理則可能離子失衡和因尿毒引起腎衰,嚴重則可能造成休克。
初次發生尿道完全阻塞時可藉由導尿管的裝設進行導尿,
但若是尿道已經受損或是導尿管無法順利安裝時則建議改為尿道造口,
而在短時間內反覆導尿多次的貓,有時為了減少導尿管對尿道的刺激,也會建議改為尿道造口。
尿道造口在台灣主要可分為傳統會陰造口和改良式會陰造口(葉氏造口)。
未絕育的公貓在傳統會陰造口時須同時絕育,因手術須將尿道從陰莖分離,
並在骨盆部的尿道建立通道,通往會陰部,術後的傷口照護相對繁瑣,傷口癒合速度也較慢。
改良式會陰造口則是將陰囊移除,但保留了包皮組織,並將陰莖尿道和包皮黏膜吻合,
術後外觀相比傳統造口較無太大區別,傷口也較好照護,較不易引起感染,
缺點則是手術費用較為昂貴。
不管是傳統會陰造口或是改良式會陰造口,術後都有可能因發炎腫脹造成再次狹窄,
如果改良式會陰造口術後又再次阻塞時,可再進行傳統會陰造口。
而兩者的傷口都需要悉心照顧,才能避免感染的問題。
8歲的貓咪姊姊就診時主訴為體重長期下降、精神食慾下降和在其它醫院診斷糖尿病病史,經由檢查並排除其他異常後,
發現尿檢中有酮體的存在,以及高於正常範圍的果糖胺。醫師馬上開始治療酮酸血症,並擬定後續的血糖監控計劃,
由於姊姊初期對於胰島素的反應不佳,治療上格外困難,所幸在歷經更換胰島素種類以及不斷調控劑量後,
飼主也積極配合在家照護和施打胰島素,姊姊的血糖已經穩定並且臨床症狀也獲得大幅改善!
貓咪的糖尿病臨床上最常見的症狀為多渴多尿、吃多但體重卻下降,診斷上可用臨床症狀搭配血糖、果糖胺。
果糖胺為長期血糖的平均值,也可當作血糖監控是否穩定的指標之一。由於每隻貓對於胰島素的劑量和種類都感受不一,
因此初期的血糖調控計劃可能需耗時多日,需要飼主的耐心配合,除了血糖監控之外,血液中的離子也需密切監控,
若是同時併發其它內分泌疾病或是其它系統疾病則會增加血糖調控的難度,因此除了診斷糖尿病外,
也需排除其它可能造成血糖調控困難的原因。
良好的血糖控制可降低酮酸血症發生的機會,酮酸血症發生時可見貓咪精神食慾下降,嚴重時可能出現吐拉、低血壓、
呼吸急促甚至休克死亡,若是發現貓咪有任何異常應儘速就醫,補充脫水並排除體內的酮體才能避免病情惡化。
圖一圖二:住院的姊姊
圖三圖四:出院後活潑可愛的姊姊

